לפני כשנה, ביוני 2022, חיכתה למנתחת המוח הארי פרייה בנדי (Bandi), מבית החולים קנברה באוסטרליה, הפתעה לא נעימה. היא ניתחה אישה כדי לקחת דגימת רקמה, ביופסיה, מאזור במוחה, שבדיקת MRI גילתה בו נגע. בנדי שמה לב שיש בתוך הנגע מבנה מוזר דמוי חוט, וכששלפה אותו בעזרת מלקחיים גילתה שהיא אוחזת בתולעת אדומה – חיה ומתפתלת – באורך 8 סנטימטרים.
לאחר שהיא והצוות שלה התאוששו מההלם, הם שלחו את התולעת למדענים לזיהוי. מתברר שזו נמטודה (תולעת נימית או תולעת עגולה) טפילית שמדביקה נחשים, וזו הפעם הראשונה בה היא נמצאה בבני אדם בפרט, ובמוחו של בעל חיים כלשהו בכלל.
כתבה על המקרה ב-NBC, בה בנדי מספרת על רגע הגילוי:
בלשות רפואית
בנדי ועמיתיה פרסמו החודש את המקרה הרפואי המוזר במאמר בכתב העת Emerging Infectious Diseases. תחילתו בינואר 2021, כשאישה בת 64 מדרום-מזרח מדינת ניו סאות’ ויילס התאשפזה בבית חולים מקומי, לאחר שסבלה במשך שלושה שבועות מכאבי בטן, שלשול, ובהמשך גם שיעול יבש והזעת לילה.
על פי בדיקות הדם שלה נראה שהיא סבלה מזיהום כלשהו, וסריקות CT מצאו נגעים בכבד שלה וסימנים לדלקת ריאות, שמקורה בחדירה מוגברת של תאי מערכת החיסון הקרויים אאוזינופילים. תאים אלו ידועים כקשורים לאלרגיות, לאסתמה ולזיהומים שמקורם בטפילים. עם זאת, בדיקות לגילוי טפילים ידועים, ולגורמים אחרים שיכולים להוביל למצבה, כגון סרטן או מחלות אוטואימוניות, לא גילו דבר. היא קיבלה כטיפול רק סטרואידים, שהם נוגדי דלקת ומפחיתים את פעילות מערכת החיסון, ולרוב מובילים לשיפור מהיר בדלקת ריאות מהסוג ממנו סבלה.
אולם, שלושה שבועות לאחר האשפוז הראשון, האישה התאשפזה בבית חולים אחר בגלל חום חוזר ונשנה ושיעול כרוני. הבדיקות והסריקות שוב גילו סימנים לזיהום וממצאים בכבד ובריאות, אם כי נראה שחלק מהנגעים בריאות נעלמו בעוד הופיעו כמה חדשים. גם הפעם החיפוש אחר גורמי מחלה שונים, כולל טפילים מוכרים רבים, העלה חרס. כדי לטפל בפעילות היתר של מערכת החיסון של החולה החליטו הרופאים להגדיל את מינון הסטרואידים שניתן לה, ולהוסיף עוד תרופות לדיכוי מערכת החיסון. כמו כן, מתוך חשש שאולי פספסו בכל זאת טפיל כלשהו בגוף האישה, נתנו לה את התרופה האנטי-טפילית איברמקטין.
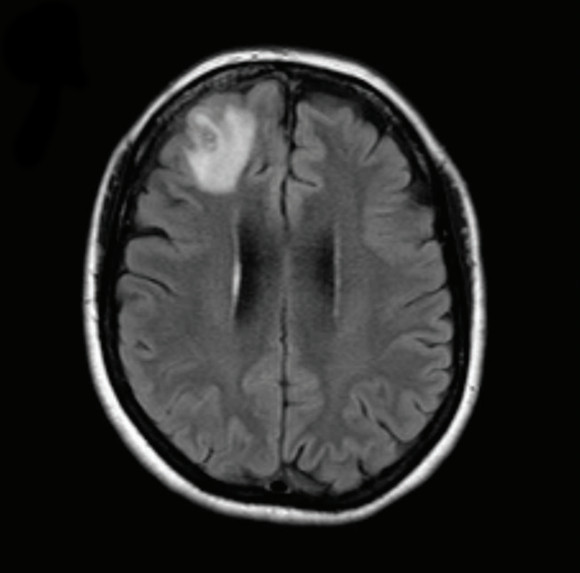
נראה שהפעם הטיפול עזר. מאמצע 2021 ועד תחילת 2022 תוצאות בדיקות הדם השתפרו מאוד וכך גם התסמינים שלה, לפחות כל עוד המשיכה ליטול סטרואידים. אך השמחה הייתה קצרת מועד. במהלך שלושה חודשים האישה, שסבלה בעבר מדיכאון, פיתחה שוב דיכאון וגם בעיות זיכרון. בדיקת MRI של מוחה מצאה באוּנה המצחית הימנית, בחלק הקדמי של קליפת המוח, נגע. וכך הגענו חזרה ליוני 2022 ולתולעת שבנדי שלפה.

בדיקת MRI של מוחה מצאה נגע באוּנה המצחית הימנית. תמונה מה-MRI, עם הנגע בפינה השמאלית העליונה | מתוך המאמר, Hossain M. et al., Emerg Infect Dis. 2023
גלגולה של תולעת
“אלוהים אדירים! לא תאמין מה מצאתי עכשיו במוח של הגברת הזו”, אמרה, על פי הגרדיאן, בנדי לסנג’יה סננייאקה (Senanayake), מומחה למחלות זיהומיות מבית חולים קנברה ומהאוניברסיטה הלאומית של אוסטרליה ואחד ממחברי המאמר. הוא ועמיתיו ניסו לעזור לבנדי לזהות את התולעת כדי לדעת איך לטפל בחולה, אך לא הצליחו לחשוב על אף נמטודה שמדביקה בני אדם ומסוגלת לחדור למוח, שדומה ליצור שבנדי שלפה. לבסוף הם שלחו את התולעת, בעודה בחיים, למדעני סוכנות המדע הלאומית של אוסטרליה (CSIRO) שניתחו אותה וזיהו שהיא נמטודה אוסטרלית מהמין Ophidascaris robertsi. בדיקות גנטיות איששו את הזיהוי.
הנמטודה הזו היא טפילה נפוצה של פיתוני שטיח (Morelia spilota), נחשים לא ארסיים שקיבלו את שמם העממי בזכות התבניות היפות שעל גופם. אם כך, איך היא מצאה את דרכה לגופה של בת אדם?
מחזור החיים הטבעי של מין הנמטודה הזה כולל מעבר בין בעלי חיים שונים, אך הוא יכול להגיע לבגרות מינית ולהתרבות רק בפונדקאי הסופי שלו, שהוא פיתון שטיח. הנמטודות הבוגרות חיות במעי ובקיבה של הפיתון ומטילות שם ביצים שמופרשות עם צואת הנחש. יונקים קטנים אוכלים צמחים שזוהמו בצואה, נדבקים בביצים ומשמשים כפונדקאי ביניים. הביצים בוקעות בגופו של היונק שאכל אותן, ומתוכן יוצאות פגיות (זחלים, לרוות) שנודדות לאיברים שונים, בעיקר לכבד וככל הידוע אף פעם לא למוח. הפגיות מתנשלות עד שהן מתפתחות, בעיקר ביונקי כיס, לפגיות מדרגה שלישית, שהן גדולות ואדומות – כמו התולעת שהתגלתה בניתוח. כאשר פיתון חונק וטורף את פונדקאי הביניים המודבק הנמטודות מדביקות אותו ומשלימות את התפתחותן. וכך המחזור מתחיל מהתחלה.

טפילה נפוצה של פיתוני שטיח, אבל לא אמורה להגיע למוח – בטח לא של אדם. התולעת שהוצאה ממוחה של אישה | מתוך המאמר, Hossain M. et al., Emerg Infect Dis. 2023
עם זאת, נראה שהפעם גם לאישה וגם לנמטודות לא היה מזל. במקום להדביק יונק קטן הן הדביקו אדם, ולכן כבר לא ישלימו את מחזור חייהן.
“במבט לאחור, נראה שהתסמינים שסבלה מהם נבעו מפגיות הנמטודות, שנדדו מהמעי שלה לאיברים אחרים, כמו הכבד והריאות”, אמרה בהודעה לעיתונות קרינה קנדי (Kennedy), מהאוניברסיטה הלאומית של אוסטרליה ומנהלת מיקרוביולוגיה קלינית בבית חולים קנברה ואחת ממחברות המאמר. על פי המאמר יתכן שהטיפול לדיכוי מערכת החיסון שקיבלה החולה הוא זה שאפשר לפגיות להמשיך ולגדול בגופה, עד שאחת מהן אף הגיעה למוחה והצליחה להתפתח לפגית מדרגה שלישית, התפתחות שככל הידוע לא מתרחשת ביונקים גדולים אחרים שהגיעו מחוץ לאוסטרליה.

האישה ליקטה את צמח המאכל רבועה שרועה, שככל הנראה זוהם בצואת פיתונים. רבועה שרועה, המכונה גם תרד ניו-זילנדי | John Tann, Flickr
תולעת לתועלת החינוך
החוקרים משערים שהאישה נדבקה בתולעים באותה דרך בה יונקים אחרים נדבקים בהן – היא אכלה צמח שזוהם בצואת פיתונים. האישה ליקטה את צמח המאכל רבועה שרועה (Tetragonia tetragonioides), המוכנה גם “תרד ניו זילנדי” והוא מין פולש בישראל, ליד אגם שפיתוני שטיח נפוצים בו. ככל הנראה היא בלעה את ביצי התולעים ישירות כשאכלה את הצמח שלא נשטף כראוי, או באופן עקיף לאחר שידיה או המשטחים במטבח שלה זוהמו.
“אנשים שמגדלים מזון בגינה או מלקטים אותו צריכים לשטוף את ידיהם אחרי הגינון ואחרי מגע במוצרים שליקטו”, מדגישה קנדי. “יש לשטוף היטב כל מזון שמשתמשים בו בסלט או לבישול, וצריך לנגב ולנקות את משטחי העבודה במטבח ואת קרשי החיתוך לאחר השימוש”.
המקרה הראשון של אדם שנדבק בתולעת הזו יכול לשמש תזכורת לא רק לחשיבותה של ההיגיינה. אמנם Ophidascaris לא עוברים מאדם לאדם, ולכן לא יכולים לגרום למגפה, אך מקרים כאלה – של הדבקה מנחש לאדם – יכולים לקרות במקומות אחרים בעולם, ועלולים להיות מסוכנים יותר. התקווה היא שבעקבות פרסום המקרה רופאים יחשבו על האפשרות הזאת, ובפעם הבאה יזהו את הגורם מהר יותר. על פי סננייאקה, מקרים מסוג זה מדגישים את האיום המתמשך של מחלות שעוברות מחיות לבני אדם, איום שגדל ככל שבני אדם פולשים לתחומי המחייה של חיות הבר. “היו כ-30 הדבקות במחלות חדשות בעולם ב-30 השנים האחרונות”, הוא אומר. “מהמחלות המגיחות בעולם, כ-75 אחוז הן זואונוטיות, כלומר עוברות מעולם החיות לעולם בני האדם. וזה כולל את נגיפי הקורונה”.
סננייאקה הוסיף ש”זה לא קל או רצוי להיות החולה הראשון בעולם בכל מחלה. אני לא יכול להדגיש מספיק עד כמה אנחנו מעריכים ומעריצים את האישה הזו, שהפגינה סבלנות ואומץ במהלך כל התהליך”. הרופאים ממשיכים לעקוב אחר מצבה. אחרי שזוהתה התולעת היא קיבלה טיפול נוסף כדי לחסל את התולעים בכבד ובריאות שלה. חצי שנה אחרי תום הטיפול בדיקות הדם שלה תקינות, והתסמינים הנוירולוגיים שלה השתפרו, אם כי עוד לא חלפו לגמרי.