לצד הנזקים הישירים שמגפת הקורונה גרמה, היא הובילה גם לעלייה במספר המתים ממחלות אחרות. גלי התחלואה הכבידו על בתי החולים, שלעתים נאלצו לצמצם את האבחון של מחלות אחרות והטיפול בהן, והמגבלות שהוטלו על מנת להאט את התפשטות המגפה בלמו את העבודה השוטפת של ארגונים כמו ארגון הבריאות העולמי במאבקם במגוון מחלות. השחפת היא דוגמה בולטת לכך, ונתונים מ-2020 מראים שמגפת הקורונה אכן פגעה באבחון המוקדם של המחלה ובאיכות הטיפול בחולים, והובילה לעליה בתמותה. לצד זאת, ביולי השנה התגלה מנגנון חדש ולא מוכר שבאמצעותו חיידק השחפת פוגע בתפקודה של מערכת החיסון, וייתכן שגילויו עשוי לסייע בעתיד במאמצים לפיתוח טיפולים חדשים ויעילים יותר למחלה הקטלנית.
דוח שפרסם ארגון הבריאות העולמי באוקטובר האחרון מזהיר מפני עלייה שחלה במספר המתים ממחלת השחפת במהלך שנת 2020, בזמן מגפת הקורונה. הדוח מציין כי לראשונה מאז שנת 2005, היקף התמותה העולמית משחפת ב-2020 עלה לעומת השנה שקדמה לה, ועמד על כ-1.5 מיליון. העלייה במספר המתים מתרכזת בעיקר ב-30 מדינות,רובן באפריקה ובאסיה, בהן המחלה נפוצה, ובארגון הבריאות העולמי צופים כי מספר המתים אף יעלה בשנת 2021.
לפי הערכת הארגון, אחד הגורמים העיקריים לעלייה בתמותה הוא חוסר אבחון בזמן, שככל הנראה נגרם עקב הסגרים והגבלות התנועה שהונהגו במדינות רבות, לצד הפחד להגיע למוסדות בריאות בזמן מגפה והחשש מסטיגמה שלילית עקב הדמיון בתסמיניהן של שתי המחלות. יתרה מזאת, הקושי לספק שירותי בריאות בזמן המגפה פגע בטיפול בחולים ותרם גם הוא לעלייה בתמותה. כיום השחפת נחשבת לגורם התמותה השני בשכיחותו ממחלות מידבקות בעולם, מיד אחרי מגפת הקורונה עצמה.
בשנת 2015 קבע לו ארגון הבריאות העולמי ליעד להפחית ב-90 אחוז את התמותה משחפת בעולם בתוך 15 שנה, עד שנת 2030. כעת, עקב מגפת הקורונה, נראה שצפוי עיכוב משמעותי בהגשמת היעד, שהיה שאפתני מאוד מלכתחילה. נכון לעכשיו, במקום שמספר קורבנות השחפת השנתי יצטמצם בשליש עד סוף שנת 2020, כפי שמכתיב היעד, הוא פחת ב-9.2 אחוזים בלבד מאז שנת 2015.

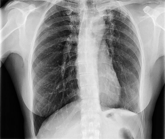
כ-1.5 מיליון איש מתו משחפת בשנת 2020. צילום חזה שמראה נזק לריאות כתוצאה משחפת | Dr. P. Marazzi, Science Photo Library
מחלה חיידקית קשה לטיפול
כדי להבין את הקושי של המאבק בשחפת, צריך להכיר את המחלה עצמה. השחפת היא מחלה זיהומית קשה ומידבקת מאוד, שנגרמת על ידי החיידק מיקובקטריום טוברקולוזיס (Mycobacterium tuberculosis) ומועברת מאדם לאדם באוויר, בעזרת חלקיקי רוק שנפלטים במהלך שיעול, התעטשות ואפילו דיבור. החיידקים מתיישבים בדרך כלל בריאות, ומשם הם עלולים להתפשט דרך מחזור הדם לאיברים נוספים ולגרום סיבוכים קשים שעלולים להיות קטלניים. ללא טיפול מתאים, 45 אחוז מהחולים ימותו משחפת. אצל נשאי נגיף ה-HIV, הפוגע בתאי מערכת החיסון, שיעור התמותה גבוה אף יותר ומתקרב ל-100 אחוז.
פעמים רבות חיידקי השחפת נשארים במשך שנים רבות חבויים בריאות, בלי שמערכת החיסון תאתר אותם ובלי לגרום לתסמינים. רק 10-5 אחוזים מהנדבקים יפתחו מחלה פעילה במהלך חייהם. השחפת עלולה להפוך ממחלה סמויה לפעילה כשמערכת החיסון נחלשת, למשל עקב עישון או אלכוהוליזם, סוכרת, תזונה לקויה, נשאות של HIV ובמצבים של דיכוי חיסוני הנובעים מטיפולים כימותרפיים בחולי סרטן. תסמיני המחלה הפעילה כוללים שיעול, שעלול במקרים מסוימים להיות דמי, כאבים בחזה, הזעה לילית, חוסר תיאבון, ירידה במשקל, חולשה וחום גבוה.
אומנם קיים טיפול למחלה, אך הוא יעיל רק בכ-85 אחוז מהמקרים. הטיפול משלב ארבעה סוגים של תרופות אנטיביוטיות, הניתנות במשך פרק זמן ממושך מאוד של חצי שנה לפחות, עקב יכולת החמיקה הגבוהה של החיידק ממערכת החיסון. חולים רבים מתקשים להתמיד בטיפול האנטיביוטי הממושך, ועל ידי כך תורמים לעיתים להתפתחות של זני שחפת עמידים לרוב סוגי האנטיביוטיקה. הזנים האלה יוצרים סכנה ממשית לבריאות הציבור באזורים רבים בעולם.
החיסון היחיד שקיים כיום פותח לפני קרוב למאה שנה, אך היעילות שלו נמוכה מאוד. על ילדים החיסון מגן רק מפני סיבוכים מסוימים של המחלה, וכמעט שאינו מונע את ההדבקה ואת הפצת החיידק מאדם לאדם. חמור מכך, החיסון אינו יעיל כלל למבוגרים, שהם כ-90 אחוז מכלל מהנדבקים בשחפת. 14 חיסונים חדשים לשחפת נמצאים כעת בשלבים שונים של ניסויים קליניים.

אין חיסון יעיל, והטיפול נמשך זמן רב. חוקר מכין חיידקי שחפת לניסוי במעבדה בג'ורג'יה, ארה"ב | Richard J. Green, Science Photo Library
חיידק השחפת נגד מערכת החיסון
כשאדם נדבק בחיידק, מערכת החיסון שלו מופעלת נגד הפולש, ותגובתה תקבע איך המחלה תתפתח. בתגובה החיסונית מעורבים תאי הדם הלבנים, ובהם תאי המקרופאגים. כשהמקרופאגים מזהים חיידק, הם בולעים אותו ומחסלים אותו. במקביל הם מעוררים תהליך דלקתי, שבו מעורבים תאים נוספים של מערכת החיסון שיוצרים נוגדנים נגד החיידק.
אך חיידקי השחפת לא מוותרים בקלות. כדי להתגבר על ההגנה של מערכת החיסון הם פיתחו מנגנוני אלימות שונים, הפוגעים בתגובה החיסונית של הגוף ואף משתקים אותה. בשלב הראשוני של המחלה, לאחר שהחיידקים נבלעים על ידי המקרופאגים בריאות, הם מפעילים מנגנונים המונעים מהמקרופאגים להרוג ולפרק אותם, כך החיידק יכול לשרוד ולהתרבות בתוך הגוף ובתוך המאקרופג'ים עצמם, כשהוא מוגן מפני התקפות עליו.

לאחר שהחיידקים נבלעים על ידי המקרופאגים, הם מפעילים מנגנונים המונעים מהמקרופאגים להרוג ולפרק אותם. תמונת מיקרוסקופ אלקטרונים סורק של מקרופאג "בולע" חיידקי שחפת | Prof. S.H.E. Kaufmann & Dr. J.R Golecki, Science Photo Library
צוות מדענים מאוניברסיטת מרילנד בארצות הברית הצליח השנה לגלות מנגנון חדש שבאמצעותו חיידק השחפת מצליח לפגוע בתפקודה התקין של מערכת החיסון. במחקר גידלו המדענים במעבדה מקרופאגים אנושיים, הדביקו אותם בזן אלים של חיידק השחפת ועקבו אחרי תפקודם. הם גילו כי בעקבות ההדבקה שיבש החיידק את פעילותה של מערכת חשובה נוספת, הנקראת אינפלמזום (Inflammasome).
האינפלמזום ממלא תפקיד בהפעלת התהליכים הדלקתיים בגוף, ועל כן הוא מרכיב חשוב בתפקודה היעיל של מערכת החיסון נגד החיידק. החוקרים אף בודדו גֵן של חיידק השחפת שאחראי על שיבוש הפעילות של האינפלמזום. כשהנדסו חיידק ללא הגֵן והדביקו בו את המקרופאגים, פעילות האינפלמזום לא נפגעה. כששתלו את הגֵן מחדש בזן המהונדס, חזרה לחיידק היכולת לשבש את פעילות האינפלמזום. כך הוכיחו כי הגֵן הזה אכן תורם ליכולת של החיידק לשבש את הכלים של הגוף שאמורים להילחם בו.
השחפת היא מחלה קשה ומסוכנת, אך היא גם מחלה שאפשר למנוע ולרפא. באמצעות שימוש בכלים נכונים יש מדינות שהצליחו לצמצם באופן דרמטי את התחלואה בשחפת בשטחן. מחקרים נוספים שיספקו לנו הבנה מעמיקה של מנגנוני הפעולה של החיידק בגופנו יוכלו לסייע לפיתוח תרופות חדשות למחלה ואולי אף לפיתוח חיסון יעיל נגדה, ויתרמו לקידום מאמצי ארגון הבריאות העולמי למגר את המחלה.