נגיפי הפפילומה של האדם מוכרים לציבור הרחב בעיקר בזכות החיסון נגד כמה מהזנים, שנכנס לשגרת החיסונים בבתי הספר בישראל לפני כעשור. החיסון מכוון נגד זני פפילומה שנמצאים ברקמות ריריות, כגון צוואר הרחם, הלוע ופי הטבעת. זנים אלה שייכים לנגיפי פפילומה מסוג אלפא, והם גורמים ליבלות באיברי המין ולסרטן בשלל איברים: סרטן צוואר הרחם, סרטן הפין, סרטן הלוע וסרטן פי הטבעת. הוכח שהתחסנות בגיל צעיר היא דרך יעילה למנוע את המחלות האלה.
אך הנגיפים מסוג אלפא אינם כל התמונה. יש גם נגיפי פפילומה מסוגים אחרים, כגון בטא וגמא, שחיים על העור. הם לא גורמים כל נזק לאנשים בריאים, אך עלולים לפגוע באנשים שמערכת החיסון שלהם חלשה יותר, כמו מי שעברו השתלת איברים או חולי כשל חיסוני. לאוכלוסיות הללו נגיפי פפילומה, בעיקר זנים מסוג גמא, עלולים לגרום ליבלות, ואחרים, בעיקר מסוג בטא, לסרטן העור. לצד זאת, במחקר חדש, שפורסם בכתב העת Cancer Cell, נמצא שאצל אנשים בריאים, ללא פגיעה במערכת החיסון, אותם נגיפי פפילומה מסייעים למערכת החיסון לאתר ולמגר תאים טרום־סרטניים שמופיעים בעקבות מוטציות – שינויים גנטיים, שהם לעיתים בלתי רצויים. מדובר ספציפית במוטציות שנוצרות כתוצאה מקרינה על־סגולה (קרינת UV).

הקרינה העל-סגולה גורמת נזקים רבים לתאי העור, ומגבירה את הסיכון לסרטן העור. אישה עם כוויות שמש | Opat Suvi, Shutterstock
נזקי הקרינה העל־סגולה
חשיפה רבה לשמש מסוכנת בשל הקרינה העל-סגולה שהיא מפיצה. הקרינה הזאת גורמת נזקים רבים לתאי העור; מתוכם, הנזק החמור ביותר הוא נזק לחומר הגנטי, ה-DNA. מושתלי איברים רגישים במיוחד לחשיפה לשמש, ומשערים שהסיבה לכך היא דיכוי מערכת החיסון: לאחר ההשתלה הם נדרשים לצרוך לצמיתות תרופות לדיכוי מערכת החיסון, לבל תתרחש תגובה חיסונית נגד האיבר המושתל. אולם, לעומת בני אדם, בניסויים על עכברים לא נצפה הבדל בכמות התאים שנפגעו מקרינה על־סגולה בין עכברים שמערכת החיסון שלהם דוכאה, ובין עכברים אחרים. בקבוצת המחקר של שדמר דמרי (Demehri), מאוניברסיטת הרווארד בארצות הברית, ביקשו לבדוק אם ההבדל הזה מקורו בנגיפים שנמצאים על העור.
החוקרים הדביקו קבוצת עכברים בנגיפי פפילומה מסוג בטא, וקבוצה נוספת בנגיפי פוליומה – משפחת נגיפים נפוצה אחרת, שחלקם עלולים לפגוע גם בבני אדם. הם גילחו את העכברים, והללו עברו הקרנות בקרינה על־סגולה. בעוד שלא היה הבדל בין קבוצת הביקורת לעכברים שהודבקו בפוליומה, נמצא שנגיפי הפפילומה הקנו הגנה מפני שינויים בעור בתגובה לקרינה. אצל העכברים שהודבקו בנגיפי פפילומה נמצאו כ-25 אחוזים פחות התעבות של רקמת העור, ופי שניים פחות גידולים טרום־סרטניים שמכילים מוטציות בגֵן p53. הגֵן p53 נחשב גֵן מדכא סרטן: כמחצית ממקרי הסרטן אצל בני אדם מערבים מוטציות שלו. החלבון שהוא אחראי לו חשוב לתגובה למצבי עקה (סטרס), לתיקון נזקים ל-DNA, ולהפעלת מנגנון מוות תאי מתוכנן (אפופטוזיס) כדי למנוע מתא שיש בו מוטציות רבות להפוך סרטני.
כשנבדק עורם של העכברים, התברר שאצל העכברים שהודבקו בפפילומה היו יותר תאי T שמתמחים בהרג תאים, וכן תאי זיכרון חיסוני, שהתרכזו בעיקר בסביבת תאים עם מוטציות בגֵן p53. כאשר החוקרים פגעו בכוונה ביעילות שלהם, ההשפעה המגינה של נגיפי הפפילומה נעלמה. כלומר, נגיפי הפפילומה כשלעצמם אינם מונעים את הנזק לעור, אלא מכוונים את תאי מערכת החיסון ישירות לתאים הטרום־סרטניים. אם תאי מערכת החיסון לא יגיעו לתאים הנגועים – לא תהיה הגנה. החוקרים מצאו שתאי ה-T מכוונים לתאים הנגועים משום שתאים עם מוטציות בגֵן p53 מאפשרים לנגיפי הפפילומה להתרבות ביתר שאת, כך שהתאים הללו מציגים על פני השטח שלהם יותר חלבונים של הנגיף מאשר תאים אחרים בסביבתם. תאי מערכת החיסון מזהים את התאים בעלי המוטציות, ותוקפים אותם. החוקרים מצאו גם שחיסון של העכברים נגד נגיפי הפפילומה עשוי לשפר את התגובה החיסונית לתאים שניזוקו לאחר טיפול בקרינה על־סגולה, שכן תאים כאלה מציגים יותר חלבונים של הנגיף; חיסון מקנה למערכת החיסון מיומנות בזיהוי הנגיף ובנטרול התאים הנגועים, שהם גם התאים עם מוטציות בגֵן p53.

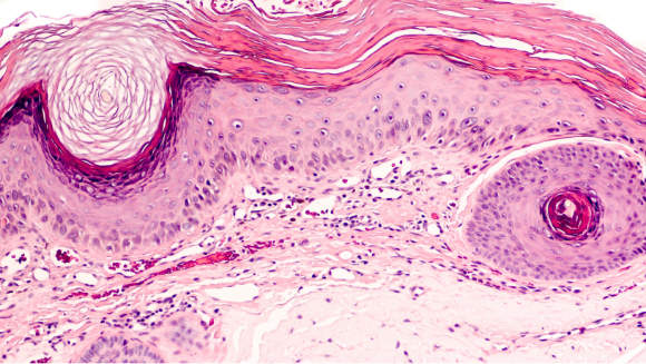
החוקרים מצאו שהנגעים הכילו פחות נגיפי פפילומה ופחות תאי T. דגימת רקמה מתאי עור טרום־סרטניים מסוג קרנת עור אקטינית | David A Litman, Shutterstock
דגימות עור אדם
לאחר הניסויים על העכברים, עברו החוקרים לבחון דגימות עור שמקורן בבני אדם. הם השוו דגימות עור מהפנים, שחשופות לשמש תדירוֹת, לדגימות עור מהגב, שבדרך כלל אינו חשוף לשמש. בעור הפנים נמצאו יותר תאים עם מוטציות ב-p53, ויותר פעילות של נגיפי פפילומה מסוג בטא. בנוסף, בעור הפנים נמצאו יותר תאי T באזורים שבהם יש תאים עם מוטציות ב-p53 מאשר בעור הגב, והם תאמו לתאים שבהם הנגיפים היו פעילים יותר. החוקרים המשיכו ובדקו נגעים טרום־סרטניים מסוג קרנת עור אקטינית (actinic kertosis), שהם כתמים מחוספסים על פני העור. נמצא שהם הכילו פחות נגיפי פפילומה ופחות תאי T. החוקרים העלו את האפשרות שהיכולת של תאי הנגעים האלה להיפטר מחלבוני הפפילומה – עדיין לא ידוע איך הם עושים זאת, לפחות בשלב הזה – היא מנגנון לא מוכר של תאים טרום־סרטניים בעור "להתחמק" ממערכת החיסון.
החוקרים מקווים שהמנגנון שגילו יאפשר לפתח חיסון או טיפולים אימונותרפיים שיהיו יעילים עוד לפני שמתפתח סרטן של ממש, כבר עם גילוי נגעים טרום־סרטניים בעור, וגם לאחר הופעת גידול. בנוסף, מדידת רמת נגיפי הפפילומה בנגעי עור עשויה לשמש שיטה לאבחון דרגת החומרה שלהם, טרם התפתחות הסרטן וגם לאחר מכן. לבסוף, הגילוי שנגיפים לא מזיקים על העור עשויים לעזור למערכת החיסון בזיהוי תאים שיש להם פוטנציאל בעייתי פירושו שייתכנו תהליכים דומים גם באיברים אחרים, עם נגיפים אחרים.