מגפת "הריאות הלבנות" – שלא קיימת
עוד לא הספקנו לעכל את השמועות על "מגפת דלקת הריאות" המסתורית בסין – שככל הנראה לא באמת קיימת, והתחלואה שיוחסה לה נובעת ממגוון מחלות ידועות משכבר – וכבר מגיעות אלינו שמועות נוספות, על מגפת "הריאות הלבנות" בארצות הברית. המחלה התגלתה באוהיו ובמסצ'וסטס, עם מעל 140 ילדים חולים בכל אחת מהן, ולפי דיווחים הגיעה גם לדנמרק ולהולנד, וכך קנתה לה אחיזה באירופה. נראה שהיא מתפשטת בכל העולם! מהי אותה מחלת ריאות מסתורית המאיימת על ילדי העולם וגורמת לריאותיהם להלבין?
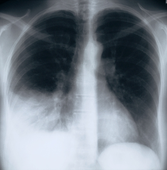
מתברר שאין דבר כזה מחלת "הריאות הלבנות". כפי שהוסבר בדיווח ברשת NBC, מדובר בכותרת שתפסה אחיזה ולא במינוח רפואי. בצילום רנטגן של הילד החולה, דלקת הריאות שהוא סובל ממנה נראית בלבן. זה הכול – עיתונאי ניסח כותרת ואנשים משתמשים בה בתור מושג. הילדים חולים בסוגים שונים של דלקות ריאה, ואין כל קשר בין המחלות שלהם לבין המתרחש בסין, כך טוענים המומחים באוהיו. העליה במספרי החולים בתקופה זו של השנה דומה לעליה שהייתה בכל שנה עד פרוץ מגפת הקורונה, ואין בה באמת משהו חריג, מלבד הרגישות של התקשורת והציבור להתפשטות של תחלואה. דלקות הריאה בשתי המדינות בארצות הברית נגרמות מגורמים ידועים, חיידקיים או נגיפיים דוגמת נגיף ה-RSV. בחלקם ניתן לטפל באנטיביוטיקה ואין צורך באשפוז. מה ניתן לעשות כדי למנוע התפשטות? כרגיל בתחלואת חורף: לדאוג להיגיינה, לכך שחולים יישארו בבית ולא ילכו לבית הספר או לעבודה, ולהתחסן נגד מה שאפשר, מפני שחלק ממקרים אלה הם סיבוכים מאוחרים יותר של מחלה נגיפית כמו שפעת.

בצילום רנטגן של הילד החולה, דלקת הריאות שהוא סובל ממנה נראית בלבן – זה לא סימן ל"מחלת ריאות לבנות" מסתורית. צילום חזה של מטופל עם דלקת ריאות, שנראית בלבן בחלק השמאלי התחתון של הצילום | CNRI / Science Photo Library
התפרצויות מקומיות
בדנמרק לעומת זאת מדובר בדלקת ריאות לא טיפוסית, הנגרמת על ידי חיידקי מיקופלזמה. אותה מחלה גורמת גם לתחלואה גוברת בסין בימים אלו. בדנמרק, העליה בתחלואת הילדים נמשכת מאז אוגוסט, אך לא מדובר בתופעה חריגה במיוחד: לפי הדנים בערך אחת לארבע שנים יש אצלם התפרצות שכזו. באירלנד יש גם עליה קטנה בדלקת הריאות הנגרמת על ידי מיקופלזמה, וגם הם לא ממש מתרגשים מכך: לדבריהם העליה לא חורגת בהרבה מהרגיל.
מדינה נוספת שחווה עליה במקרי דלקת הריאות המאובחנים אצל ילדים היא הולנד, אך גם שם מדובר בעליה עונתית, והיא אף חמורה פחות ממה שההולנדים היו רגילים אליו לפני מגפת הקורונה. את ההולנדים מדאיגה יותר התפרצות מקבילה של מחלת השעלת. לפני שבוע דיווחו שם על עשרה ילדים לכל מאה אלף המגיעים לרופא בגלל סיבה זו – מספר כפול מאשר בשבוע שלפני כן, וגבוה משמעותית מאשר בשלוש השנים האחרונות.
לסיכום, לפחות לפי המידע שיש בפנינו כעת, אין סיבה להניח ששוטפת את העולם מגפת דלקת ריאות מסתורית מגורם חדש או לא ידוע. אבל כן יש התפרצויות מקומיות של מחלות חורף, שחלקן גדולות מהרגיל, וזה בנוסף על נגיפי הקורונה שעדיין איתנו.
דוגמה למחלת חורף שגרתית שכזו היא התפרצות נגיף RSV בדרום קליפורניה. התחלואה שם גבוהה בהרבה מאשר בשנים הקודמות, אז הגבלות הקורונה ריסנו גם אותה ביחד עם מחלות חורף אחרות, וכל זה עוד לפני שהשפעת העונתית מכה במלוא עוזה.

עלייה בתחלואת ילדים במדינות שונות, אבל לא חורגת בהרבה מהרגיל. רופאה בודקת את הריאות של ילד בעזרת סטטוסקופ | Shutterstock, SeventyFour
צהבת A בעזה
קרוב יותר אלינו הביתה, לפי דיווח של האו"ם יש כעת מגפה של צהבת A ברצועת עזה בקרב העקורים המסתתרים במקלטי אונר"א, בעקבות המלחמה שהחמאס פתח בה נגד ישראל בשבעה באוקטובר. צהבת A מדבקת בעיקר דרך מזון ומים מזוהמים בנגיף, ויש נגדה חיסון שהוא חלק מחיסוני השגרה. מקרי הצהבת עלולים להעיד על בעיות בגישה למים נקיים שיש כעת בחלקים מהרצועה בגלל המלחמה, וזה עלול כמובן להוביל גם להתפשטות של מחלות אחרות, מסוכנות יותר מצהבת A.