חוקרים מהמכון למדע וטכנולוגיה באוקינאווה שביפן הצליחו לראשונה לגדל בצלחת פטרי תרבית תאים של אלמוג האבן Acropora tenuis. תרביות תאים הן כלי מחקרי חשוב, שעשוי לסייע רבות בהבנת תהליכים כמו הלבנת אלמוגים ואולי יאפשר לנו לבלום את האיומים על המשך קיומה של המחלקה החשובה הזאת.
תרבית תאים היא שיטה לגידול תאים שנלקחו מבעלי חיים או צמחים והחזקתם בתנאים מבוקרים במעבדה. השיטה נולדה כבר בשלהי המאה ה-19, ועברה פריצת דרך משמעותית ב-1951 עם פיתוחה של תרבית תאים עמידה במיוחד שנלקחה מגידול ממאיר בצוואר הרחם של אישה בשם הנרייטה לאקס. תרביות תאים משמשות כיום לחקר תהליכים ביולוגים שונים המתרחשים בתא, כמו גם ליצירת חיסונים, לבדיקת תרופות ועוד. חוקרים וחברות תעשייתיות משתמשים בתרביות תאים ממגוון רב של יצורים, ובכלל זה יונקים, דגים, חרקים וצמחים. תאים של פרות ותרנגולות אף משמשים כיום ליצירת בשר מתורבת במעבדה.
עד כה לא הצליחו חוקרים ליצור תרביות תאים של אלמוגים – יצורים ימיים חשובים שממלאים תפקיד מרכזי ביותר באקולוגיה הימית, ושהשוניות שהם בונים משמשות סביבת מחיה ליצורים רבים ומגוונים. בהיעדר יכולת לחקור אותם במעבדה, קשה הרבה יותר למדענים לפענח את התהליכים הביולוגיים שמובילים לכך ששוניות האלמוגים בעולם הולכות ונעלמות.
אחת הבעיות המוכרות והמשמעותיות ביותר היא הלבנת אלמוגים. מדובר בתהליך שבו האלמוג פולט מתוכו את האצות שחיות עמו בסימביוזה הדדית ומזינות אותו בתרכובות פחמן שיצרו באמצעות פוטוסינתזה. ידוע שההלבנה מתרחשת כשהאלמוגים נמצאים בתנאי מצוקה, למשל עקב התחממות המים בסביבתם. בלי האצה האלמוג נשאר פגיע מאוד, וסיכוייו להשתקם קטנים. בשנת 2020 נמצא ששונית האלמוגים הגדולה באוסטרליה סובלת מהלבנה חמורה בקרוב לרבע משטחה.

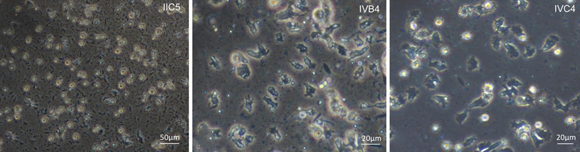
החוקרים חילקו את התאים על פי צורתם, אופן הגדילה שלהם וצבעם וכך הפרידו אותם לשמונה תרביות שונות. שלוש מהתרביות ששימשו במחקר, בעלות צבע וצורה שונים | מתוך המאמר Kawamura et al., Marine Biotechnology
מיפן למעבדות בכל העולם
איננו יודעים עדיין איך בדיוק ולמה האלמוג דוחה מעליו את האצות הסימביוטיות וכך מוביל למותו שלו עצמו. תרבית התאים החדשה עשויה לסייע בפתרון השאלות האלה ועוד רבות אחרות. את התרבית עצמה החוקרים ייצרו לא מאלמוגים בוגרים, אלא מפגיות (לרוות) – שלב מוקדם במחזור החיים של האלמוג, שמתפתח מיד אחרי ההפריה. הבחירה להשתמש דווקא בפגיות נובעת מכך שבהיותן צעירות מאוד יש להן פוטנציאל חלוקה גדול יותר מאלמוג בוגר, ועל כן סיכוי גבוה יותר לגדול ולהתרבות בצלחת.
החוקרים אספו 50-40 פגיות בגילים משתנים, והשתמשו בכמה שיטות כדי להפריד בין התאים ולעודד אותם לגדול ולהתחלק. הם חילקו את התאים על פי צורתם, אופן הגדילה שלהם וצבעם וכך הפרידו אותם לשמונה תרביות שונות. התאים המשיכו לגדול במשך שמונה חודשים, ואף עמדו בשלום בהקפאה והפשרה וחזרו לגדול אחריהן.
בהמשך אפיינו החוקרים באמצעות כלים גנטיים את תרביות התאים שגידלו. מהניתוח שלהם אפשר להסיק שאכן מדובר בתאי אלמוג בלבד, ושהתרביות לא זוהמו בתאים אחרים. בנוסף נמצאו הבדלים בצורת הפעילות של הגֵנים בכל תרבית, ונראה שהחוקרים הצליחו לגדל בנפרד תאים מאזורים שונים בגוף האלמוג, ובכלל זה השכבה הפנימית (גסטרודרם), מערכת העצבים והשכבה החיצונית (אפידרמיס).
היות שתרביות התאים החדשות יכולות לשרוד לאורך זמן ואף לעבור הקפאה, יהיה אפשר לשתף את הכלי החדש עם מעבדות בכל רחבי העולם. תרביות התאים עשויות לקדם את חקר האלמוגים כפי שתרביות של תאים אנושיים קידמו את חקר התהליכים המתרחשים בגוף האדם. אפשר לקוות שהתובנות שנקבל מהן יאפשרו לנו לשמר את המערכת הביולוגית המורכבת והחשובה כל כך של שוניות האלמוגים.