כבד שומני הוא מצב שבו מצטבר שומן בכבד, ובמקרים חמורים הדבר עלול לפגוע בתפקוד הכבד ואף לסכן חיים. מחקר חדש, בהשתתפות חוקרים מהטכניון ומבית החולים רמב"ם, פותח לראשונה אפשרות לטיפול תרופתי למחלה, אשר עשוי לחסוך מחולים קשים את הצורך בהשתלת כבד.
כבד שומני יכול לנבוע מצריכת אלכוהול מופרזת או מסיבות אחרות, כאשר הסיכון גבוה יותר אצל אנשים עם משקל עודף, חולי סוכרת ומי שסובלים מעודף שומנים בדם (היפרליפידמיה). הסוכר והשומן העודף של החולים מצטברים בכבד ונאגרים בו, עד שהשומן ממלא יותר מחמישה אחוזים מהרכב האיבר החיוני.
חומרת המצב משתנה מאדם לאדם: חלק מהחולים לא יחוו שום תסמינים, ואילו אחרים עלולים לפתח מצב דלקתי שיכול להידרדר למחלת שחמת הכבד. במצב הזה, הרקמה התקינה של הכבד מוחלפת ברקמה צלקתית, ותפקוד האיבר נפגע. הפתרון היחיד לזה כיום הוא השתלת כבד.
מחלת הכבד השומני שאינה קשורה לאלכוהוליזם נחשבת כיום מגפה של ממש, ומשערים שרבע מאוכלוסיית העולם סובלת ממנה. למרות שכיחותה וחומרתה, נכון להיום אין לה תרופה יעילה והטיפול בחולים מתבסס בעיקר על שינוי באורח החיים והתזונה.

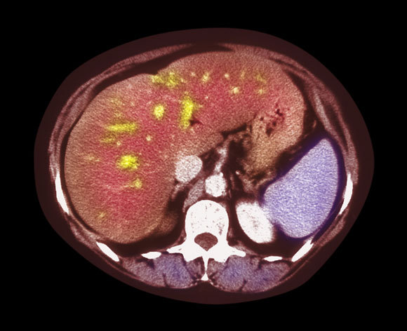
מחלת הכבד השומני נחשבת כיום מגפה של ממש. צילום CT של כבד שומני, בו ניתן לראות שהכבד מוגדל, ויש בו הצטברות שומן (כתמים צהובים) | Simon Fraser, Freeman Hospital, Newcastle Upon Tyne, SPL
גליצין למען הכבד
במחקר החדש, שפורסם בכתב העת Science Translational Medicine, הציגו לראשונה חוקרים מאוניברסיטת מישיגן, בשיתוף הטכניון ובית החולים רמב"ם בחיפה, טיפול תרופתי שיוכל בתקווה לשפר את מצבם של חולים בכבד שומני לא אלכוהולי. הטיפול משתמש במולקולה שמבוססת על חומצת האמינו גליצין, אחת מאבני הבסיס של חלבונים בגופנו.
זהו אינו רעיון חדש: מחקרים מצאו בעבר קשר בין מחסור בגליצין למחלת כבד שומני חמורה. על מנת לחקור לעומק את המחסור הזה, בדקו החוקרים את הדם והכבד של עכברים עם כבד שומני או דלקת בכבד ומצאו כי בשני המקרים הם סבלו ממחסור בגליצין וגם מירידה בייצור שלו בגופם.
עוד נמצא כי אחד הגֵנים האחראים על ייצור הגליצין פעיל הרבה פחות אצל העכברים החולים. כשהחוקרים הנדסו עכברים שהגֵן הזה הושבת אצלם והאכילו אותם בתזונה עשירה בסוכר, שומן וכולסטרול, כמקובל ברוב המדינות המערביות, נמצא שהמחלה שהתפתחה אצלם הייתה חמורה יותר מזו של עכברים רגילים. בנוסף, כשלקחו עכברים עם נטייה לסבול מיתר סוכר וכולסטרול, והאכילו אותם במזון עם גליצין או בלעדיו, נמצא שלאלה מהם שצרכו גליצין במזון היו פחות סוכר וכולסטרול בדם, ופחות שומן הצטבר בכבד שלהם.
על סמך הממצאים הללו החליטו החוקרים לבדוק את השימוש בגליצין כטיפול למחלת הכבד השומני. הם בחנו כמה מולקולות המבוססות על גליצין, בעכברים רגילים שהוזנו בתפריט עתיר סוכר ושומן ולכן סבלו מתופעות של כבד דלקתי, ובעכברים שהונדסו גנטית לדמות כבד דלקתי וקיבלו את אותה תזונה. אחת המולקולות שבדקו, שנקראת DT-109, הביאה לשיפור ניכר ברמות הסוכר והכולסטרול בדמם של עכברים משתי הקבוצות, אפילו יותר ממולקולת הגליצין לבדה. בנוסף, הכבד שלהם היה פחות שומני ופחות דלקתי מזה של עכברים שלא קיבלו את הטיפול.
כשבחנו את תפקוד תאי הכבד של העכברים המהונדסים הבחינו החוקרים כי אצל אלה שקיבלו את התרופה היה יותר חמצון של חומצות שומן. התהליך הזה מאפשר לגוף לנצל היטב את האנרגיה שבשומן במקום לאגור אותו, אך במהלכו נוצרים רדיקלים חופשיים שעלולים לפגוע בתאים. בבדיקה מעמיקה יותר מצאו החוקרים כי הגליצין שבמולקולה משמש את התאים ליצירת נוגד חמצון חשוב בשם גלוטתיון, שמקטין את נזקי החמצון הללו. עוד נמצא שהמולקולה הגנה על העכברים מהתפתחות של דלקת בכבד ומהתחלה של שחמת. מסקנתם הייתה כי המולקולה מספקת לתאים הגנה טובה מנזקי החמצון של חומצות השומן, וכך מונעת דלקת בכבד ומאפשרת לגוף להפיק אנרגיה מחומצות השומן במקום לאגור אותן.
המחקר הנוכחי מציע לראשונה טיפול תרופתי פוטנציאלי לסובלים מכבד שומני, על בסיס גליצין. עם זאת יש לזכור כי הניסויים נעשו בינתיים על עכברים בלבד, ועדיין צריך לחקור אם הטיפול משפיע בצורה דומה גם על בני אדם.