הדודל של גוגל היום הוא של הרופא והחוקר היווני גיאורגיוס פאפאניקולאו (Papanikolaou). בשנת 1928 הוא פיתח בדיקה לאבחון מוקדם של סרטן צוואר הרחם, המוכרת היום כבדיקת פאפ.
פאפאניקולאו נולד היום לפני 136 שנה ביוון. הוא התעניין במוזיקה ובמדעי הרוח אך בגיל 15 החליט ללכת בעקבות אביו וללמוד רפואה. כשגילה שאינו נהנה מהעיסוק ברפואה עבר פאפאניקולאו ללמוד ביולוגיה וזואולוגיה באוניברסיטת מינכן, ושש שנים לאחר סיום לימודי הרפואה שלו קיבל גם תואר דוקטור לביולוגיה.
בשנת 1912, במהלך מלחמת הבלקן הראשונה, התגייס פאפאניקולאו לצבא יוון כרופא צבאי. שנה לאחר מכן, עם סיום המלחמה ב-1913, היגר לארצות הברית עם אשתו, אנדרומכי (מרי), אף ששניהם לא ידעו אנגלית. בני הזוג בקושי הצליחו להתפרנס בארצם החדשה — פאפאניקולאו התפרנס ממכירת שטיחים, נגינה בכינור ועבודה כפקיד בעיתון מקומי בניו-יורק, בזמן שאישתו תפרה כפתורים. לאחר כמה חודשים הוא קיבל עבודה כעוזר מחקר במחלקה לפתולוגיה בבית החולים "ניו יורק" וכחוקר במחלקה לאנטומיה באוניברסיטת קורנל. אישתו הצטרפה אליו ועבדה כטכנאית שסייעה לו במחקריו ולעתים הייתה מושא הניסוי.
עיסוקו של פאפאניקולאו במשטחים וגינליים החל בכלל במחקר בקורנל על השפעת אלכוהול על שרקנים וצאצאיהם. חלק מהמחקר דרש איסוף ביציות משרקניות לפני הביוץ, אך מאחר שאין לשרקניות וסת ברורה ובולטת לעין, לא הייתה דרך לזהות בבירור את מועדי המחזור שלהן. פאפאניקולאו שיער שגם אם אין דימום בולט, סביר שמתרחשים שינויים כלשהם בחיות שיאפשרו להבין את המחזור שלהן. הוא לקח מפשק (speculum), שמשמש להרחבת הנחיריים בבדיקות בילדים, והשתמש בו כדי לקחת דגימות תאים מהנרתיק של השרקניות השיכורות. הוא בחן את הדגימות תחת מיקרוסקופ ואכן גילה הבדלים בתאים שאסף מהנרתיק במהלך המחזור.
לאחר התגלית בשרקנים, רצה פאפאניקולאו לבחון את השינויים בבני אדם. אולם, מאחר שלא היה רופא קלינאי, לא הייתה לו גישה לחולות שאולי יוכלו להשתתף במחקרו. במקום זאת הוא השתמש במתנדבת היחיד שמצא — מרי, אשתו. בהמשך שכנעו בני הזוג חברות שלהם להצטרף למחקר ופאפאניקולאו אסף דגימות מצוואר הרחם שלהן, החלק המחבר בין גוף הרחם לנרתיק, והכין מהן משטחים שבחן תחת מיקרוסקופ. הוא מצא הבדלים בתאים במהלך המחזור החודשי, אך גילה דבר נוסף: אצל אחת המתנדבות היו תאים שנראו שונים מתאים רגילים. היה לה סרטן צוואר הרחם.

הוריד בשיעור ניכר את התמותה מסרטן צוואר הרחם. פאפניקולאו מציג את המשטח | מקור: G. Kokori/UNESCO-Hellas
אבחון מציל חיים
ב-1928 פרסם פאפאניקולאו את השיטה החדשה, המהירה והזולה שלו לאבחון סרטן באמצעות משטח צוואר הרחם במאמר שהציג בכנס במישיגן, אך רוב הקהילה הרפואית והמדעית לא התלהבו ממה שהציג. בדיקת פאפאניקולאו לגילוי מוקדם של סרטן צוואר הרחם, שתקרא לימים בדיקת פאפ או משטח פאפ, לא נכנסה לשימוש. רק ב-1939, בסיוע הגינקולוג הרברט טראוט (Traut), שכנע פאפאניקולאו את בית החולים "ניו יורק" לבדוק את כל הנשים המגיעות למחלקה הגינקולוגית בשיטה שלו, במקום בשיטות הפולשניות (יותר) שהיו בשימוש אז. בשנת 1943 פרסם עם טראוט את הספר "אבחון סרטן רחם באמצעות משטח וגינלי" שהציג את ממצאיהם ואת הצלחת השיטה. לאחר כמה שנים, בזכות לחץ של החברה האמריקאית לסרטן ובזכות חוקרים בלתי תלויים ששחזרו את ממצאיו של פאפאניקולאו, השימוש במשטח פאפ החל להתפשט בעולם.
פאפאניקולאו מת מהתקף לב ב-1962, בגיל 78, והספיק לראות את השיטה נכנסת לשימוש נרחב. כיום כל אישה יכולה לעבור את הבדיקה הלא נוחה שפיתח, שמאפשרת גילוי מוקדם של סרטן צוואר הרחם במהירות. השימוש הנרחב בבדיקה הפחית את התמותה מסרטן זה ביותר מ-50 אחוז. לפני תחילת השימוש במשטח פאפ, סרטן צוואר הרחם היה הסרטן הקטלני ביותר של נשים בארצות הברית, לפני עשור הוא כבר היה במקום ה-12. עכשיו, כשיש לצד הגילוי המוקדם גם טיפול מונע יעיל נגד סרטן צוואר הרחם — חיסון נגד זני הנגיפים הגורמים לרוב מקרי סרטן זה, שכיחות המחלה יורדת עוד יותר וחייהן של נשים רבות נוספות ינצלו.

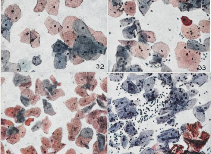
שלבים שונים בחייהם של תאי צוואר הרחם, כפי שתיעד פאפאניקולאו עצמו (צילום מיקרוסקופי צבוע) | מקור: Wellcome Collection