Imaging is the general term describing any process that results in the formation or reconstruction of a visual representation of a certain object. If this definition sounds too general, it is because it does indeed include a wide variety of acts and technologies: each time we take a photograph using our phone we perform an act of imaging.
Imaging is used for many purposes and in many fields: from the use of microscopes and telescopes in scientific research, to industrial and military uses of imaging technologies, and, needless to say, in medicine, which we will focus on herein. The term ‘medical imaging’ usually refers to a variety of non-invasive methods that provide an image of internal organs and body parts. These methods help in the diagnosis of various medical situations and are also used in the scientific research of physiological processes and diseases.
Different imaging techniques provide different types of information, depending on the way by which the image is created. Thus, these methods often complement one another and can provide more information when combined. However, in spite of their non-invasive nature, some of these methods may be somewhat dangerous if used excessively, especially over a long period of time and without proper protective gear.

Proper protective gear should be used. A doctor in a lead apron, which protects against X-rays. | Photo: wavebreakmedia, Shutterstock
The Good Old Method: X-Ray
When we shoot using a regular camera, the resulting image is produced when light rays coming from a light source (such as the sun) hit the object we choose and interact with it – some of the light rays are absorbed, some are reflected, and some may pass through the object. The portion of light that is reflected from the object reaches the light detector in our camera, and forms the basis for the photograph. Each area on the detector receiving light of a particular color will display that color in the final image.
An X-ray image is obtained in much the same way, but instead of displaying light waves within the visible range (roughly between 400 and 700 nanometers), the image is created by electromagnetic radiation, which has a high frequency and an extremely short wavelength ranging between 0.01-10 nanometers, and is therefore of significantly higher energy than that of visible light.
The high-frequency X-rays are produced and emitted by a generator, hit the area of the body to be imaged, interact with it, and eventually reach a photographic film or a digital detector placed on the other side. This creates a two-dimensional image representing the shadow of the X-ray radiation, or in other words, the beams that have not been absorbed along the way.
X-rays are differentially affected by the tissues through which they pass, depending on the tissue’s density and atomic composition. Their high frequency enables them to pass easily through low-density tissues and molecules containing light atoms – such as muscle tissue, but they are nonetheless absorbed by the denser tissues and by molecules with relatively heavy atoms, which is why X-rays are very useful in the imaging of hard tissues, such as bones and teeth.
X-rays can also be used to image other tissues, such as blood vessels, but this requires the use of radiocontrast agents. Radiocontrast agents have two important characteristics: (1) They interact with X-rays, thus creating a contrast between themselves and their surroundings on an X-ray image, and (2) They can reach the tissue of interest with high specificity. Since differences in density between different soft tissues in the body are very small, radiocontrast agents must be used to distinguish these on an X-ray image. For example, injection of iodine into the bloodstream enables detection of blood vessels on an X-ray image, due to the fact that iodine atoms are relatively heavy and able to absorb X-ray radiation. This method enables for detection of leaks and blockages in the circulatory system.
While low-dose X-rays, used for medical diagnosis, are not believed to cause any immediate health problems, prolonged or high-dose exposure to X-ray radiation can be dangerous. X-rays constitute a type of ionizing radiation, that is, they carry enough energy to remove electrons from atoms and molecules and thus damage their chemical stability. Beyond the short-term damage that different types of radiation can cause, such as burns from prolonged exposure to direct sun, in the case of UV radiation, high and prolonged exposure to ionizing radiation can severely damage the DNA in our cells and lead to the formation of cancer-causing mutations.

A very useful method for imaging hard tissues. The hand of the Swiss researcher Albert von Kölliker in a photograph taken by Wilhelm Röntgen in 1896. | Source: Wikipedia, Public domain
Virtual Slices: Computerized Tomography (CT)
Tomography is an imaging method that allows division of the imaged object into 'slices'. Computerized tomography (or CT), usually involves a system that performs a series of two-dimensional X-ray images, obtained from different angles, which, when integrated by a computerized algorithm, provide a three-dimensional image of the documented organ.
CT is often used in medicine for the detection of internal bleeding, tumors, lung diseases, vein and artery problems, heart disease, gastrointestinal problems, and complex orthopedic problems such as joint fractures. This method provides high-resolution 3D images that facilitate an accurate diagnosis.
The main disadvantage of this imaging method is radiation damage. Since a CT scan consists of a series of X-rays, the patient is exposed to relatively high levels of ionizing radiation, which, as mentioned, can cause genetic mutations following high and prolonged exposure, and thus elevate the risk of cancer. The amount of radiation that the patient absorbs during such an examination depends on the size of the examined area, the number of photographs that make up the final image, known as a 'tomogram' , as well as the desired quality of the image. When a physician orders a CT scan, he or she must assess the risks and decide whether the benefit of obtaining a diagnosis, based on the imaging results, outweighs the risks of radiation exposure.
An additional risk of CT scans is the possibility of a patient having an allergic reaction to the radiocontrast agent used. The common symptoms of such allergic reactions are nausea, vomiting and a skin rash. In rare cases, certain contrast agents can cause kidney damage.

A CT scan enables the identification of pneumonia in a COVID-19 patient (the red spot left from the center of the image) | Source: VSEVOLOD ZVIRYK / SCIENCE PHOTO LIBRARY
Magnetizing water: Magnetic Resonance Imaging (MRI)
Magnetic Resonance Imaging (or MRI) is a non-invasive imaging method, which does not involve use of ionizing radiation. MRI enables imaging of the body’s soft tissues by using the abundance of water molecules in the body as tiny transmitters that report on their environment. Due to a quantum property known as nuclear spin, hydrogen atoms behave like small magnets (scientifically speaking, they have a magnetic dipole moment), inducing a small magnetic field. Although the magnetic field of each hydrogen atom is very weak, MRI exploits the fact that hydrogen is the most abundant atom in the body, since each water molecule has two hydrogen molecules, and water is the most abundant molecule in the human body.
If we could measure the magnetic field of each hydrogen atom, we could learn a lot about its environment. However, since that is not possible, the MRI machine measures the total magnetic field generated by a multitude of hydrogen atoms. Normally, the “inner magnets” within the atoms point randomly in all directions, resulting in a net magnetic field of zero. The scan begins with placing the patient within a large and constant magnetic field. Magnets tend to align in the presence of an external magnetic field and the “inner magnets” of the multiple hydrogen atoms align to the strong external field exerted on them, similar to the way by which the needle of a compass aligns to the Earth’s magnetic field.
At the next stage, the MRI device generates a short electromagnetic pulse, perpendicular to the fixed magnetic field, at a certain spin frequency. This pulse reverses the direction of some of the “inner magnets”, causing the magnetic fields of all the hydrogen atoms to align in the direction and frequency of the pulse.
This motion is synchronized – meaning all the internal magnets rotate in coordination and create a common and measurable magnetic field that rotates perpendicular to the direction of the fixed magnetic field. This changing field can be detected using the eclectic voltage that it creates as it passes through a conductive loop.
With time, the internal magnets gradually lose synchronization and the magnetic field they create fades. This decay time depends on the environment within which the water is found, implying that each type of tissue has a different characteristic decay time. For example, the decay time of the magnetic field in the lungs or in the liver is faster than that in body tissues that have a higher water content, such as blood vessels. Other factors, such as the concentrations of iron and of large molecules such as proteins, polysaccharides and phospholipids, can also affect the decay time. It is thus possible to create an image based on the decay times and obtain different patterns for different tissues.
In addition, since the strong and constant magnetic field generated by the MRI continues to operate, while the short pulse disappears quickly, the spin change caused by the pulse dissipates and the internal magnets will gradually align themselves back to the constant magnetic field. The time required for this alignment process is also dependent on the environment of the hydrogen atoms, and this too enables differentiation between tissues. The MRI machine can create images based on the different decay times and visualize soft tissues such as the brain, spinal cord, blood vessels, tendons and articular cartilage, and more.

The narrow space and the noise may cause discomfort. A doctor briefing a patient before an MRI scan. Photo: ALPA PROD, Shutterstock
Seeing The Brain In Action: Functional MRI
An MRI can also be used to measure brain activity using a technique called functional MRI (or fMRI). Hemoglobin, a protein that carries oxygen in the blood, changes its magnetic properties depending on the amount of oxygen it carries, thus affecting the magnetic field around it as well as the MRI signature of the water around it. It is therefore possible to differentiate between areas in the brain in which neural activity is high, and which therefore consume more oxygen and have higher concentration of the hemoglobin carrying it, as opposed to areas which are less active. By comparing fMRI images of brains of subjects carrying out different tasks, to images of the same subjects at rest, it is possible to detect the brain regions that are active while a particular brain function, such as information processing or finger bending, is being tested. This is a very important tool in brain research.
Contrasting agents are also used sometimes in MRI scans in order to accentuate visual differences between tissues. Usually, compounds containing a metal called gadolinium are used for this purpose. The interaction of the metal with water molecules around it accelerates the rate of alignment of the “internal magnets” in the hydrogen atoms with the external magnetic field, such that the time of decay of hydrogen atoms in water containing a contrasting agent will differ from that of other hydrogen atoms, and a contrast can be obtained between tissues containing the gadolinium and neighboring tissues.
The constant magnetic field of an MRI is about 10,000 times stronger than Earth’s magnetic field. The magnet is not dangerous in and of itself, but objects that are affected by a magnetic field, should be kept away from it. This includes heart pacers, jewelry and other products from ferromagnetic metals (such as iron), as well as credit cards, hard drives, and other magnetic means of data storage, which could be erased. Aside from that, this technology is completely safe, even with frequent use, and is also suitable for children. However, due to the loud noises created during an MRI scan as well as due to the narrow space inside the MRI machine, some patients may find such a scan a less than pleasant experience.

With the help of radiocontrast agents. A clear image of the veins in the brain using an MRI scan | Photo: samunella, Shutterstock
Seeing the Sounds: Ultrasound
Sound waves are cyclic disturbances of air density that propagate through a medium (such as air). Our ears can detect such disturbances at frequencies between 20-20,000 Hertz (vibrations per second), the audio frequency range, and our brain perceives these vibrations as sounds.
Ultrasound imaging is an imaging method which is based on sound waves at frequencies higher than those audible to humans – above 20,000 Hertz (20kHz). In order to create an image, pulses of sound waves are directed towards the relevant area of the patient’s body. Due to the unique physical properties of each tissue, the sound waves are reflected back differentially, and the ultrasound device processes the reflected waves, creating an image.
Ultrasound is an efficient tool for the imaging of soft tissues. It provides detailed information on the condition of muscles and tendons, cardiovascular activity and other blood vessels as well as on fetal development in-utero. Most ultrasound uses are external, but some tests require the insertion of a small ultrasound transducer (a probe) in order to obtain a comprehensive high-resolution image. The ultrasound device delivers immediate results and does not pose a danger of ionizing radiation. Its main disadvantage is that bones as well as gas bubbles obstruct the view of structures hidden behind them.
The required sound waves are usually generated by a piezoelectric crystal, which changes its shape in response to electric voltage. When the voltage is changed at a certain frequency, the shape of the crystal changes at that frequency, causing the crystal to vibrate and thus creating sound waves. The structure of the device and the combination of acoustic lenses that focus sound waves much like the way that glass lenses focus light waves, enable the focusing of the waves on a specific area and depth of interest.

A common imaging method during pregnancy checkups. Three fetuses in the uterus are visible in a 3D ultrasound scan | Source: DR NAJEEB LAYYOUS / SCIENCE PHOTO LIBRARY
The device is usually coated with rubber, and it is customary to apply a gel to the skin to allow the sound waves to pass through the tissue efficiently without dispersing, before reaching the desired depth. When the waves reach the target tissue they are reflected from it to the ultrasound device. Now the reverse process occurs: the piezoelectric crystal vibrates due to incoming sound waves, and this vibration is translated to changes in voltage. The instrument converts the electric voltage to an image that represents the structure of the tissue from which the sound waves were reflected.
Whenever there is a difference in tissue density, some of the waves are reflected back. The larger the difference in density, the stronger the echo that gets reflectet, which also makes it very difficult to image tissues that are behind thin gas or a hard object. The ultrasound device measures the magnitude of the echoes reflected at it and computes the time difference between when the sound wave was sent and when the echo was received back. This calculation of time difference tells us how deep the place was where there was a difference in tissue density. Combined with the knowledge of the magnitude of the echo, an image can be produced from the data.
Ultrasound devices typically use frequencies of 2-18 MHz (megahertz). While high frequencies help obtain more detailed images due to their short wavelength, such waves also attenuate quickly and are therefore unable to penetrate deep. Different organs require different ultrasound frequencies for imaging.
An ultrasound can also help with measuring the flow in blood vessels using the Doppler effect. When a wave impacts a moving object, the frequency of the wave bouncing off it changes. A well-known example of the Doppler effect in sound waves is the phenomenon that occurs when an ambulance passes us with its siren on. The frequency we hear the siren at when the ambulance approaches will be different from the frequency we hear when it passes us and drives away, since its speed relative to us has changed. Similarly, when sound waves strike moving tissue, such as blood in the arteries, the frequency of the reflected sound waves will be different than the original and we will be able to conclude the speed of the blood’s motion. A Doppler ultrasound scan is used for example for assessing fetal heart rate, integrity of heart valves, blood flow and more.
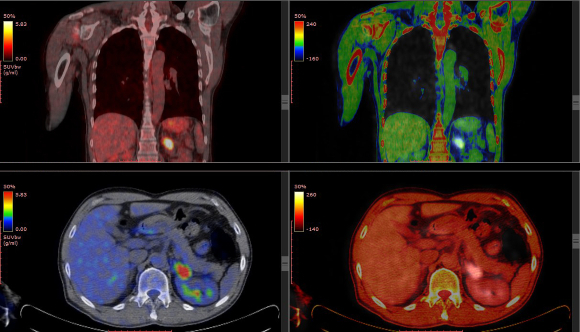
Radioactive Imaging: Positron Emission Tomography (PET)
PET (short for Positron Emission Tomography) is an imaging method that can monitor various physiological processes using radioactive substances, known as radiotracers. In contrast to other imaging methods, such as X-ray, which provide information on the structural integrity of the examined tissue, PET imaging can provide information regarding tissue function.
In order to perform imaging of a certain biological process using PET, the subject is injected with a tracer. The tracer can be either a sugar, a protein, a hormone, or any other chemical compound involved in the biological process of interest. The injected tracer contains a radioactive atom that can be detected upon reaching its target tissue or location in the body, in which it usually fulfills its biological function. Detection of the tracer is possible due to the inherent instability of the radioactive atom in the tracer. This instability causes the radioactive atom to emit a particle called a positron, with a mass identical to that of an electron, but with a positive charge, as opposed to the electron which carries a negative charge. When a positron meets an electron, near the place of its formation, electromagnetic waves are emitted in two opposite directions and are absorbed by a detector in which the subject lies. A computer analyzes the detected waves, composing a 3D image of the location of the radioactive tracer in the body of the subject. One of the radiotracers most commonly used in PET imaging is FDG, which constitutes a slightly different version of the sugar glucose. It is used to label tissues that absorb and consume large amounts of glucose, a prominent characteristic of cancerous tumors.
Doctors make extensive use of PET scans to detect malignant tumors, diagnose various brain conditions as well as to plan head surgeries, heart bypass surgery, diagnose and treat infectious diseases, and more. PET scans can also be used during the development of new medications to examine the medication’s distribution in the body and its rate of absorption, as well as for other research purposes. Combined PET and CT imaging is often performed to obtain comprehensive information about the patient.
The amount of radiation emitted during a PET scan is similar to that of a CT scan (the exact amount depends on the precise settings of the scan). The radioactive tracer stops emitting positrons within a few hours from the moment of production.

A radioactive scan enables the assessment of tissue function. PET scan of a patient’s torso, back view (top) and top view | Photo: springsky, Shutterstock
Facing forward
Although the imaging methods reviewed here are based on different scientific principles, all rely on the ability to create contrast and detect the object of interest, relative to its surroundings. While some of the described methods were invented more than a century ago, the world of imaging is very far from being dormant. Researchers are constantly improving existing imaging technologies, finding different uses for them, and inventing new technologies. Scientists are developing new markers for PET scans and contrast agents for CT and MRI scans. A laser-based device for ultrasound imaging was developed only recently, and it was found that an MRI scan improves breast cancer diagnosis in women who had only had an X-ray scan (mammography). Developing more advanced imaging will enable earlier and more accurate diagnosis of medical problems and conditions, better treatment, and reduced risks for patients.