השאלה המקורית: האם ניתן לבדוק את מצבם של התאים מפרישי הדופמין במחלת הפרקינסון? כיצד?
ציפי שלום, ותודה על שאלתך.
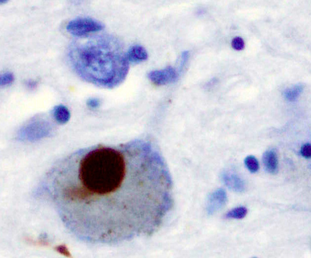
מחלת הפרקינסון, או "רטטת" בעברית, מתאפיינת בניוון של תאי החומר השחור (Substantia Nigra), שהם תאי עצב שנמצאים בגרעיני הבסיס במוח האמצעי ומפרישים מוליך עצבי בשם דופמין. המחלה מתבטאת בנוקשות שרירים, רעד, קשיים בדיבור ושינויים בתנועה. צברי חלבון שנקראים גופיפי לואי נאגרים בתוך תאי העצב אצל חולי פרקינסון ועלולים לגרום לשיטיון (דמנציה).

גופיף לואי בתא עצב במוח של חולה פרקינסון | צילום: מרווין 101, ויקיפדיה
יש יותר משבעה מיליון חולי פרקינסון בעולם, שהמפורסמים שבהם הם השחקן מייקל ג'יי פוקס ואלוף העולם באגרוף לשעבר מוחמד עלי. הטיפול שמוצע להם יכול להפחית את התסמינים, אך נכון להיום המחלה חשוכת מרפא.

מייקל ג'יי פוקס. אובחן כחולה פרקינסון בגיל 31 | צילום: פאול הדסון, ויקיפדיה
תאי העצב שמפרישים את הדופמין מתאפיינים בכמויות גבוהות של הצבען מלנין, ומכאן צבעו הכהה של החומר השחור. אם נתבונן בחתך במוח האמצעי, בחלק שבו החומר השחור גלוי, נבחין שבמוחו של חולה פרקינסון האזור הזה בהיר ומנוון לעומת מוח של אדם בריא שבו רואים בבירור את תאי העצב עתירי המלנין. במצב הזה מחלת הפרקינסון כבר נמצאת בשלב מתקדם. האתגר הוא לאתר אותה בשלבים מוקדמים יותר.
מאחר שהמוח מוגן בגולגולת ואי אפשר לבצע בו חתך או לדגום ממנו רקמות בצורה פשוטה בלי לגרום פגיעה חמורה, כפי שדוגמים למשל את הדם, האבחון של מחלות ניווניות בו הוא אתגר מורכב ביותר. עם השנים התפתחו שיטות מיפוי והדמיה חדשניות על מנת להתמודד עם אתגר זה והן מאפשרות לזהות פגמים מבניים ותפקודיים במוח.

"החומר השחור" (בתמונה מופיע באדום) | הדמיה: איש הקרח, ויקיפדיה
אחת השיטות שאפשרה פריצת דרך באבחון מחלת הפרקינסון היא סריקת ה-DaT לזיהוי נשאים/חלבוני העברה (טרנספורטרים) של דופמין. נשא הדופמין אחראי על העברת המוליך העצבי דופמין לתוך התא. אצל חולי פרקינסון רואים ירידה בכמות הנשאים במוח לעומת נבדקים בריאים. בסריקת ה-DaT מזריקים לווריד של הנבדק כימיקל שנקשר לנשא ומסמן אותו, ולאחר מכן עושים לנבדק סריקת מוח מסוג SPECT שמאפשרת לזהות את הסמן ולאמוד את כמות הנשא במוח.
השיטה אינה מודדת באופן ישיר את כמות התאים שמפרישים דופמין , אך מספקת מדד עקיף לפעילותם התקינה של התאים. חסרונה הוא שהיא אינה מבחינה בבירור בין מחלת הפרקינסון להפרעות אחרות שמתאפיינות בליקויים במערכת הדופמין.
שיטה נוספת לאבחון פרקינסון מבוססת על MRI (דימות תהודה מגנטית), ובודקים בה את חוזק הקשרים ברשת העצבית באזור גרעיני הבסיס (הגרעינים הבזליים), הקשור במחלת הפרקינסון. כשתאי העצב בגרעיני הבסיס נפגעים, הקשרים בין תאי העצב נפגעים גם הם והרשת העצבית נחלשת. כך אפשר לאתר חולי פרקינסון בשלבים ראשוניים, שבהם כבר קיימת ירידה בחוזק הרשת העצבית בהשוואה לנבדקים בריאים.
השיטה הזו אינה מאפשרת לאמוד כמותית את מספרם של תאי הדופמין בצורה ישירה, אך היא נותנת מידע עקיף על תפקודם. כך אפשר לאבחן חולים בשלבים מוקדמים של המחלה ולכאורה גם לאתר חולים עוד לפני שהופיעו אצלם תסמינים ברורים.
צביעות שנעשות בחתכי מוח בנתיחה שלאחר המוות מראות שיש התאמה מלאה בין אובדן תאי הדופמין לחומרת מחלת הפרקינסון, כך שהיכולת לקבל מידע בזמן אמת על מצבם של התאים הללו חיונית כדי לאבחן את המחלה ולטפל בה. נכון להיום אין שיטה שבודקת ישירות את כמות תאי הדופמין במוחם של נבדקים חיים. עם זאת, שיטות עקיפות מאפשרות לאתר שינויים בקצב זרימת הדם, שינויים בחילוף החומרים והבדלים בקישור לקולטנים במוח, וכך מאפשרות לאבחן את המחלה.
בומרנג – בחזרה אליך
אלו מחלות ניווניות אחרות במוח מתאפיינות בהצטברות חלבונים שמפריעים לתפקוד התקין של תאי העצב?
בברכה,
ד"ר ענת לונדון
המחלקה לנוירוביולוגיה
מכון ויצמן למדע
הערה לגולשים
אם אתם חושבים שההסברים אינם ברורים מספיק או אם יש לכם שאלות הקשורות לנושא, אתם מוזמנים לכתוב על כך בתגובה לכתבה זו ואנו נתייחס להערותיכם. הצעות לשיפור וביקורת בונה יתקבלו תמיד בברכה.