التّصوير بالأشعّة (Imaging) هو الاسم الّذي يُطلَق على جميع العمليّات الّتي يتمّ من خلالها إنشاء أو إعادة بناء تمثيل مرئيّ لجسم ما. إذا كان هذا التّعريف يبدو عامًّا، فذلك لأنّه يتضمّن مجموعة كبيرة جدًّا من العمليّات والتّقنيّات: في كلّ مرّة نُصوّر فيها شيئًا ما على هاتفنا، نحن نقوم بعمليّة تصوير.
يُستخدم التّصوير الإشعاعيّ لأغراض عديدة: بدايةً، من خلال البحث العلميّ باستخدام المجاهر والتّلسكوبات، من خلال الاستخدامات الصّناعيّة والعسكريّة، وبالطّبع في الطّبّ- المجال الّذي سنُركّز عليه هنا. عندما نتحدث عن التّصوير الطّبّيّ بالأشعّة فإنّنا نُشير عادة إلى مجموعة متنوّعة من تقنيّات الفحص غير الجراحيّة، الّتي تُوفِّر صورة للأجزاء الدّاخليّة من الجسم. تُساعد هذه التّقنيّات في تشخيص الحالات الطّبّيّة، وتُستخدم أيضًا في البحث العلميّ للعمليّات الفسيولوجيّة والأمراض.
تُوفّر تقنيّات التّصوير المختلفة بيانات مختلفة، وذلك اعتمادًا على كيفية إنشاء الصّورة، لذلك في كثير من الأحيان، هذه التّقنيّات تُكمّل بعضها البعض، وعند دمجها سويًّا تُتيح لنا مزيدًا من المعلومات الكاملة. على الرغم من أنّ هذه الطّرق غير جراحيّة، إلّا أنّ بعضها قد يكون خطيرًا إلى حدّ ما عند الإفراط في استخدامه، خاصّة إذا تمّ استخدامه لفترة زمنيّة طويلة، وبدون معدّات الحماية المناسبة.

يجب التّشديد على الحماية المناسبة. طبيب يرتدي رداء من الرّصاص للحماية من الأشعّة السّينيّة | تصوير: wavebreakmedia, Shutterstock
الطّريقة القديمة الجيّدة: الأشعّة السّينيّة
عندما نلتقط صورة بكاميرا عاديّة، يتمّ إنشاء الصّورة باستخدام الضّوء القادم من مصدر ضوء مُعيّن (على سبيل المثال الشّمس)، حيث يصطدم الضّوء بالجسم الّذي نُصوّره ويتفاعل معه، فيتمّ ابتلاع قسم منه، وينعكس قسم آخر، وقد يمرّ القسم الأخير عبر الجسم ويمضي قدمًا. القسم المنعكس يصل إلى كاشف الضّوء الموجود في الكاميرا الخاصّة بنا، ويتمّ إنتاج الصّورة على أساسه. كُلّ منطقة في الكاشف تلقت ضوءًا بلون معيّن سَتْعرِض ذلك اللّون في الصّورة النّهائيّة.
يتمّ إجراء الأشعّة السّينيّة بشكل مشابه جدًّا، ولكن بدلاً من عرض موجات الضّوء بتردُّد الضّوء المرئيّ بطول موجة من 700-400 نانومتر، يتمّ إنشاء الصّورة بواسطة الموجات الكهرومغناطيسيّة بتردُّد الأشعّة السّينيّة (الأشعة X)، أي بطول موجة 10-0.01 نانومتر، حيث إن طاقتها أعلى من طاقة الضّوء المرئيّ بشكل ملحوظ.
تخرج الأشعّة السّينيّة من المُولّد، وتضرب المنطقة الّتي يُراد تصويرها من الجسم، تتفاعل معها، وتصل إلى فيلم تصوير أو كاشف رقميّ موجود خلفه. هكذا يتمّ إنتاج صورة ثنائيّة الأبعاد تُمَثِّل ظلّ الأشعّة السّينيّة، أي الأشعّة الّتي لم يتمّ ابتلاعها على طول الطّريق.
تتأثّر موجات الأشعّة السّينيّة بطرق مختلفة، بالأنسجة الّتي تمرّ من خلالها، وفقًا لكثافتها ونوع الذّرّات فيها. يسمح التّردُّد العالي للأشعّة السّينيّة بالمرور بسهولة عبر الأنسجة منخفضة الكثافة، والجزيئات الّتي تحتوي على ذرّات خفيفة- على سبيل المثال: الأنسجة العضليّة، بالمُقابل، يتمّ امتصاص الأشعّة عن طريق الأنسجة الأكثر كثافة، والجزيئات الّتي تحتوي على ذرّات ثقيلة نسبيًّا. لذلك فإنّ الأشعّة السّينيّة مفيدة جدًّا لتصوير الأنسجة الصّلبة، مثل العظام والأسنان.
يمكن استخدام الأشعّة السّينيّة لتصوير الأنسجة الأخرى، مثل الأوعية الدّمويّة، لهذا الغرض يجب استخدام أجسام مضادّة. تحتوي ألأجسام المضادّة على خاصّيّتين: تتفاعل مع الأشعّة السّينيّة، لذا ستبدو مختلفة عن محيطها في التّصوير للأشعّة السّينيّة، ويمكن أن تصل بشكل خاصّ ومُحدّد إلى الأنسجة الّتي تهمّنا طبّيًّا. نظرًا لأنّ الاختلافات في الكثافة بين الأنسجة الرّخوة المختلفة في الجسم صغيرة جدًا، يجب استخدام أجسام مضادّة للتّمييز بينها بالتّصوير بواسطة الأشعّة السّينيّة. على سبيل المثال: يتيح حقن اليود في مجرى الدّم تحديد الأوعية الدّمويّة في التّصوير؛ لأنّ ذراته ثقيلة نسبيًّا، وتمتصّ الأشعّة السّينيّة. وبالتّالي، يمكن العثور على التّسريبات والانسدادات في نظام الدّم.
يمكن أن تُصبح الأشعّة السّينيّة خطيرة عند التّعرّض الطّويل لها وبكمّيّات كبيرة. فهي تُعتبر من الإشعاعات المؤيّنة، أي أنّ لديها طاقة كافية لإخراج الإلكترونات من الذّرّات والجزيئات، وبالتّالي تؤدّي إلى خلل في استقرارها الكيميائيّ. بالإضافة إلى الضّرر قصير المدى الّذي يمكن أن يُسبّبه الإشعاع المؤيّن، يمكن أن يتسبّب بمرور الوقت في إتلاف الحمض النّوويّ لخلايا الجسم، والتّسبّب في حدوث طفرات سرطانيّة، هذا يُشبه الحروق النّاتجة من التَعَرُّض المُستمرّ لأشعّة الشّمس المباشرة دون استخدام الكْريم الواقي من الشّمس.

طريقة مُستعملة بكثرة لتصوير الأنسجة الصّلبة. كفّ يد الباحث السّويسريّ ألبرت فون كوليكر في صورة التقطها ويلهلم رنتجن عام 1896 | المصدر: ويكيبيديا، المجال العامّ.
مقاطع إفتراضيّة: تصوير مقطعيّ محوسب أو التّصوير الطّبقيّ المحوريّ (CT)
التّصوير المقطعيّ هو عمليّة تصوير بالتّقسيم إلى "شرائح". عادةً ما يكون التّصوير المقطعيّ المحوسب (Computerized Tomography أو CT للاختصار) عبارة عن نظام يقوم بأداء سلسلة تصوير بالأشعّة السّينيّة ثنائيّة الأبعاد من عدّة زوايا، والّتي يتمّ دمجها باستخدام خوارزميّة محوسبّة في صورة ثلاثيّة الأبعاد للعضو الموثّق.
في عالم الطّبّ كثيرًا ما يتمّ استخدام تقنيّة الـ-CT، من بين تلك الاستخدامات العثور على نزيف داخليّ، أورام، أمراض الرّئة، مشاكل الأوردة والشّرايين، أمراض القلب، مشاكل الجهاز الهضميّ، ومشاكل العظام المُعقّدة مثل كسور المفاصل. توفّر هذه الطّريقة صورًا ثلاثيّة الأبعاد عالية الدّقّة، تسمح بالتّشخيص الدّقيق.
السّلبيّة الرّئيسيّة لطريقة التّصوير هذه هو الضّرر الإشعاعيّ. نظرًا لأنّ الـ-CT يتكوّن من سلسلة من الأشعّة السّينيّة الّتي تستخدم الإشعاع المُؤيّن، فإنّ الشّخص الّذي يتمّ تصويره يتعرّض لمستويات عالية نسبيًّا من الإشعاع، والّتي يمكن كما ذكرنا، أن تخلق طفرات سرطانيّة مع التّعرّض العالي والمتكرّر. تعتمد كمّيّة الإشعاع الّتي يمتصّها المريض أثناء الفحص على حجم المنطقة الّتي يتمّ فحصها، عدد الصّور الّتي ستُشكّل الصّورة النّهائيّة المعروفة باسم "التّصوير المقطعيّ" وجودة الصّورة المطلوبة. عندما يرسل الطّبيب مريضًا لإجراء فحص الـ-CT، عليه تقييم المخاطر، وتحديد ما إذا كانت فائدة التّشخيص بمساعدة نتائج التّصوير تفوق الخطر.
خطر إضافيّ لفحص الـ-CT هو ردّ الفعل التّحسّسي عند المريض للأجسام المضادّة المستخدمة. الأعراض الشّائعة لردود الفعل لهذه الحساسيّة هي الغثيان، القيء والطّفح الجلديّ. في حالات نادرة، يمكن أن تتسبّب بعض الأجسام المضادّة بتلف الكلى.

فحص الـ-CT يساعد على اكتشاف الالتهاب الرئويّ لمريض COVID-19 (البقعة الحمراء على يسار مركز الصّورة) | المصدر: VSEVOLOD ZVIRYK / SCIENCE PHOTO LIBRARY
مغنطة الماء: التّصوير بالرّنين المغناطيسيّ (MRI)
التّصوير بالرّنين المغناطيسيّ (Magnetic Resonance Imaging أو باختصار MRI) هو طريقة تصوير غير جراحيّة، لا تستخدم الإشعاع المؤيّن. يمكن للتّصوير بالرّنين المغناطيسيّ MRI أن يصوّر الأنسجة الرّخوة في الجسم، وذلك لأنّه يستخدم جزيئات الماء الموجودة في الجسم كنوع من أجهزة الإرسال الصّغيرة الّتي تخبرنا عن محيطها. نظرًا لخاصّيّة كموميّة (الكوانتيّة) تُعرف باسم اللّفّ المغزليّ (أو التّدويم) النّوويّ، فإنّ ذرّات الهيدروجين تتصرّف مثل المغناطيس الصّغير (في اللّغة العلميّة ثنائيّ القطب المغناطيسيّ). على الرّغم من ضعف القوّة المغناطيسيّة في ذرّات الهيدروجين، إلّا أنّ التّصوير بالرّنين المغناطيسيّ MRI يعتمد على حقيقة أنّ ذرّات الهيدروجين هي الأكثر شيوعًا في الجسم. حيث يحتوي كلّ جزيء ماء على ذرّتين من الهيدروجين، والماء هو الجزيء الأكثر انتشارًا في جسم الإنسان.
إذا تمكّنّا من قياس المجال المغناطيسيّ لكلّ ذرّة هيدروجين، يمكننا أن نتعلّم الكثير عن محيطها. وبما أنّنا لا نستطيع ذلك، فإنّ جهاز التّصوير بالرّنين المغناطيسيّ MRI يقيس المجال المغناطيسيّ الكُلّيّ الّذي تُشكّله العديد من ذرّات الهيدروجين. في الوضع العاديّ، "المغناطيسات الدّاخليّة" في الذّرّات تتّجه إلى جميع الاتّجاهات بشكل عشوائيّ، وبالتاّلي، فإنّ مجموع الحقل المغناطيسيّ الّذي تشكّله هو صفر. لذلك يبدأ الفحص بإدخال المريض داخل مجال مغناطيسيّ كبير وثابت. تميل المغناطيسات إلى الاستقامة مع وجود حقل مغناطيسيّ خارجيّ والإشارة إليه، تمامًا كما تستقيم إبرة البوصلة مع المجال المغناطيسيّ للأرض، لذا فإنّ "المغناطيس الدّاخليّ" لذرّات الهيدروجين يتكيّف أيضًا مع المجال الخارجيّ القويّ الّذي يعمل عليه.
في المرحلة التّالية يُنتج جهاز الـ-MRI نبضًا كهرومغناطيسيًّا قصيرًا، يدور عموديًّا للمجال المغناطيسيّ الثّابت بتردّد دوران معيّن. هذه النّبضة تعكس اتّجاه بعض "المغناطيسات الدّاخليّة"، وتتسبّب في دوران المجال المغناطيسيّ للجميع في اتّجاه النّبض والتّردّد.
هذه الحركة متزامنة- أي أنّ جميع المغناطيسات الدّاخليّة تدور بالتّناسق، وتُشكّل معًا حقلًا مغناطيسيًّا مشتركًا قابلًا للقياس، يدور بشكل عموديّ لاتجاه المجال المغناطيسيّ الثّابت. يمكن قراءة هذا الحقل المتغيّر باستخدام الجهد الكهربائيّ الّذي يُنشئه أثناء مروره عبر حلقة موصلة.
مع مرور الوقت تخرج المغناطيسات الدّاخليّة تدريجيًّا من التّزامن الموجود، ويتلاشى الحقل المغناطيسيّ الّذي تُنتجه. يرتبط وقت التّلاشي هذا بالمحيط الّذي تتواجد فيه المياه، لذلك، يكون لكلّ نسيج زمن تلاشٍ خاصّ به. على سبيل المثال: يكون وقت التّلاشي للحقل المتواجد في الرّئة والكبد أسرع من الأنسجة الّتي تحتوي على المزيد من الماء، مثل الأوعية الدّمويّة. عوامل إضافية مثل تركيز الحديد والجزيئات العملاقة مثل البروتينات، السّكّريّات المتعدّدة والدّهون الفوسفوريّة، يمكنها أن تؤثّر على زمن التّلاشي. بهذه الطّريقة يمكنك إنشاءِ صورةٍ بناءً على أوقات التّلاشي والحصول على أنماط مختلفة في الأنسجة المختلفة.
بالإضافة إلى ذلك، ونظرًا لأنّ الحقل المغناطيسيّ القويّ والثّابت يستمرّ في العمل طوال الوقت بينما تختفي النّبضة القصيرة بسرعة، فإنّ انعكاس الاتّجاه النّاجم عن النّبضة يتبدّد، والمغناطيسات الدّاخلية تستقيم تدريجيًّا، وتعود وفقًا للحقل المغناطيسيّ الدّائم. الوقت اللّازم لعمليّة الاستقامة هذه يتعلّق بمحيط ذرّات الهيدروجين، كما أنّه يجعل من الممكن التّمييز بين الأنسجة. جهاز التّصوير بالرّنين المغناطيسيّ MRI قادر على إنشاء صورٍ بناءً على أوقات التّلاشي المختلفة، وبالتّالي يعرض الأنسجة الرّخوة مثل الدّماغ، الحبل الشّوكيّ، الأوعية الدّمويّة، الأوتار والغضاريف بالقرب من المفاصل وأكثر من ذلك.

يسبّب ضيق المساحة والضّوضاء عدم الرّاحة. طبيب يوجّه المريضة قبل فحص التّصوير بالرّنين المغناطيسيّ. تصوير: ALPA PROD ، Shutterstock
رؤية عمل الدّماغ: التّصوير بالرّنين المغناطيسيّ الوظيفيّ fMRI
يمكن أيضًا استخدام الـ-MRI لقياس نشاط الدّماغ بطريقة تُسمّى التّصوير بالرّنين المغناطيسيّ الوظيفيّ (Functional MRI, أو fMRI). بروتين الهيموجلوبين الّذي تتمثّل وظيفته في حمل الأكسجين في الدّم، يُغيّر خصائصه المغناطيسيّة وفقًا لكمّيّة الأكسجين الّتي يحملها، وبالتّالي يؤثّر على الحقل المغناطيسيّ في محيطه وعلى بصمة الـ-MRI للمياه من حوله. هكذا يُمكن أن نفرّق بين مناطق الدّماغ الّتي فيها نشاط عصبيّ، وبالتّالي فإنها تستهلك المزيد من الأكسجين، وفيها تركيز أعلى من الهيموجلوبين الّذي يحمله، وبين المناطق الأقلّ نشاطًا. إذا قارنّا صور fMRI لأدمغة الأشخاص الّذين يؤدّون هذه العمليّات وغيرها مع صورهم أثناء الرّاحة، فيمكن أن نستنتج ما هي مناطق الدّماغ الّتي تشترك في وظيفة الدّماغ الّذي يتمّ فحصه، على سبيل المثال: معالجة المعلومات أو ثني الأصابع.إنها أداة مهمّة جدًّا لأبحاث الدّماغ.
تستخدم فحوصات الـ-MRI في بعض الأحيان أجسامًا مضادّة، وذلك لإبراز الاختلافات بين الأنسجة والأنسجة. لهذا الغرض عادةً يتمّ استعمال المُركبات الّتي تحتوي على معدن الجادولينيوم. تفاعل المعدن مع جزيئات الماء في محيطها يُسرّع وتيرة الاستقامة "للمغناطيسات الدّاخليّة" في ذرّات الهيدروجين مع الحقل المغناطيسيّ الخارجيّ، إذ إن زمن تلاشي ذرّات الهيدروجين في الماء، والموجودة في محيط يحتوي على أجسام مضادّة، يختلف عن زمن تلاشي ذرّات الهيدروجين الأخرى، ممّا يخلُق تباينًا في الصّورة بين الجادولينيوم والأنسجة المجاورة.
المجال المغناطيسيّ الثّابت المُستعمل في الـ-MRI أقوى بحوالي 10000 مرة من المجال المغناطيسيّ للأرض. المغناطيس ليس خطيرًا بذاته، ولكن يُمنع تقريبه من الأجسام المُتأثّرة بالحقول المغناطيسيّة، مثل أجهزة تنظيم ضربات القلب، المجوهرات وغيرها من المنتجات المصنوعة من المعادن المغناطيسيّة (مثل الحديد)، كذلك بطاقات الاعتماد، محرّكات الأقراص وأجهزة تخزين البيانات المغناطيسيّة الأخرى الّتي قد يتمّ محوها. عدا عن ذلك فإنّ هذه التّكنولوجيا آمنة تمامًا، حتّى في حالة الاستخدام المُكثّف، وهي مناسبة أيضًا للأطفال. ومع ذلك، فإنّ الضّوضاء الّتي يصدرها الجهاز أثناء تشغيله، والمساحة الضّيّقة للجهاز يمكن أن تخلق تجربة غير سارّة لبعض المرضى.

صورة واضحة للأوردة في الدماغ بواسطة MRI بمساعدة أجسام مُضادّة | تصوير: samunella ، Shutterstock
رؤية الأصوات: الموجات فوق الصّوتيّة (الأولتراساوند)
الموجات الصّوتيّة هي اضطرابات دوريّة بكثافة الهواء، تتقدّم في الفراغ. تستطيع آذاننا على التقاط مثل هذه الاضطرابات في نطاق التردّد 20-20,000 هرتز (نبضة في الثّانية)، فيفسّرها دماغنا على أنّها صوت.
الموجات فوق الصّوتيّة هي شكل من أشكال التّصوير، تعتمد على الموجات الصّوتيّة بتردُّد عالٍ أكثر من قدرة الاستيعاب لدى الإنسان، أي أكثر من 20000 هرتز. لإنشاء الصّورة يتمّ إرسال نبضات من الموجات الصّوتيّة باتجاه المنطقة المطلوبة في جسم المريض. نظرًا للخصائص الفيزيائيّة الفريدة لكلّ نسيج، تنعكس الموجات الصّوتيّة منه بشكل مختلف، ويقوم جهاز الموجات فوق الصّوتيّة بمعالجة الموجات المنعكسة، وإنشاء صورة.
الموجات فوق الصّوتيّة هي أداة فعّالة لتصوير الأنسجة الرّخوة. توفّر معلومات مفصّلة عن حالة العضلات والأوتار، صحّة نشاط القلب والأوعية الدّمويّة الأخرى، وتطوّر الجنين عند النّساء الحوامل. معظم استخدامات الموجات فوق الصّوتيّة خارجيّة، وإلّا أنّ هناك فحوصات تتطلّب إدخال جهاز موجات فوق صوتيّة صغير في الجسم، للحصول على صورة عالية الدّقّة وعالية الأمان. تعطي الموجات فوق الصّوتيّة نتائج فوريّة، ولا تشكّل خطر التّعرّض للإشعاع المؤيّن. السّلبيّة الرّئيسيّة هو أنّه من الصّعب رؤية الأجزاء الّتي تختبئ خلف العظام أو فقاعات الغاز.
تتكوّن الموجات الصّوتيّة عادةً من البِلَّوْرة الكهرُضغطيّة، أي بلّورة يتغيّر شكلها استجابةً للجهد الكهربائيّ. عندما نغيّر الجهد الكهربائيّ بتردّد معيّن، يتغيّر شكل البلّورة بنفس التّردّد، وتهتزّ البلّورة، ممّا ينتج موجات صوتيّة. من خلال استخدام مبنى الجهاز، وكيفيّة استخدامه، والعدسات الصّوتيّة الّتي تركّز الموجات الصّوتيّة بطريقة مماثلة لطريقة تركيز العدسات الزّجاجيّة لموجات الضّوء، يمكن تركيز الموجات على المنطقة والعمق المطلوبَيْن.

طريقة تصوير شائعة في مراقبة الحمل. تظهر ثلاثة أجنّة في الرّحم في مسح ثلاثيّ الأبعاد بالموجات فوق الصّوتيّة | المصدر:DR NAJEEB LAYYOUS / SCIENCE PHOTO LIBRARY
عادة ما يكون الجهاز مغطى بالمطّاط، ومن المعتاد وضع مادّة هلاميّة لزجة على الجلد، بحيث تمرّ الموجات الصّوتيّة بشكل جيّد، ولا تتفرّق قبل أن تصل إلى العمق المطلوب. عندما تصل الموجات إلى النّسيج المطلوب ترجع من النّسيج إلى جهاز الموجات فوق الصّوتيّة. الآن تحدث العمليّة العكسيّة: البِلَّوْرة الكهرُضغطيّة تهتزّ بسبب اصطدام الموجات الصّوتيّة، وتترجم هذا الاهتزاز إلى تغيّرات في الجهد الكهربائيّ. يتمّ ترجمة الجهد الكهربائيّ نفسه في الجهاز إلى صورة تمثّل بنية النّسيج الّذي عادت منه الموجات الصّوتيّة، في عمليّة سنأتي على شرحها في الحال..
في كلّ مرّة يكون هناك اختلاف في كثافة الأنسجة، تنعكس بعض الموجات. كلما كان فرق الكثافة أكبر، كان الصّدى العائد أقوى وأكبر- لذلك من الصّعب جدًّا محاكاة الأنسجة الموجودة خلف الغاز الرّقيق أو العظام الصّلبة. يقيس جهاز الموجات فوق الصّوتيّة شدّة الصّدى العائد إليها، ويحسب الفارق الزّمنيّ بين وقت إرسال الموجة الصّوتيّة واستقبال الصّدى مرّة أخرى. يتيح حساب هذا الفارق الزّمنيّ معرفة عمق المكان الّذي حدث فيه تغيّر في كثافة الأنسجة، وعن طريق الدّمج مع معرفة شدّة الصّدى، يمكن تركيب صورة من البيانات.
تستخدم أجهزة الموجات فوق الصّوتيّة عادةً تردّدات تتراوح بين 2-18 ميجاهرتز. على الرّغم من أنّ التّردّدات العالية ييمكن أن تؤدي إلى إنشاء صور أكثر تفصيلاً بسبب طول الموجة القصير، إلّا إنّ هذه الموجات تتلاشى أيضًا بسرعة، وبالتّالي فهي غير قادرة على اختراق العمق. ويختلف استخدام الترددات وفقًا لاختلاف الأعضاء.
يمكن أن تساعد الموجات فوق الصّوتيّة أيضًا في قياس تدفّق الدّم من خلال تأثير دوبلر. عندما تصطدم الموجة بجسم متحرّك، يتغيّر تردُّد الموجة العائدة منها. من الأمثلة المعروفة لتأثير دوبلر في الموجات الصّوتيّة، الظّاهرة الّتي تحدث عندما تمرّ بنا سيّارة إسعاف بصفّارة تعمل. سيختلف التّردد الّذي نسمع فيه صوت الصّفارة مع اقتراب سيّارة الإسعاف منا عن التّردّد الّذي نسمعه عندما تمرّ بنا وتتحرّك بعيدًا، لأنّ سرعتها النّسبيّة تجاهنا قد تغيّرت. كذلك عندما تصطدم الموجات الصّوتيّة بأنسجة متحرّكة، مثل الدّم في الشّرايين، سيتغيّر تردّد الموجات الصّوتيّة المرتدّة، وهكذا يمكننا استنتاج سرعة الحركة. يُستخدم فحص الموجات فوق الصّوتيّة دوبلر على سبيل المثال لفحص مُعدّل ضربات قلب الجنين، لفحص صمّامات القلب، تدفّق الدّم وغير ذلك.
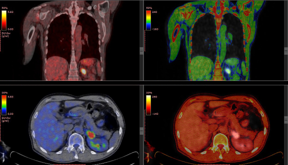
التّصوير الإشعاعيّ: التّصوير المقطعيّ بالإصدار البوزيتروني (PET)
PET(اختصار لـ Positron Emission Tomography) هي طريقة تصوير قادرة على مراقبة العمليّات الفسيولوجيّة المختلفة من خلال استخدام الموادّ المشعّة. على عكس طرق التّصوير كالأشعّة السّينيّة، الّتي توفّر معلومات عن سلامة مبنى الأنسجة الّتي يتمّ فحصها، فإنّ PET قادر على توفير معلومات عن سلامة وظيفة الأنسجة.
لإجراء تصوير لعمليّة بيولوجيّة معيّنة بواسطة PET، يتمّ حقن المريض بمؤشّر حيويّ ("Tracer"). يمكن أن يكون المؤشّر عبارة عن سكّر، بروتين، هرمون أو أي مركّب كيميائيّ آخر، يشارك في العمليّة البيولوجيّة الّتي نهتمّ بمتابعتها. يحتوي المؤشّر المحقون على ذرّة مشعّة، بحيث يمكن العثور على موقعه في الجسم عندما يصل إلى المكان الّذي من المفترض أن يؤدّي فيه وظيفته. يعتمد العثور على مكان المؤشّر على حقيقة أنّ نواة الذّرّة المشعّة في المؤشّر غير مستقرّة. يتسبّب عدم الاستقرار هذا في قيام الذّرّة المشعّة بإصدار جُسيم يسمى البوزيترون، الّذي له نفس كتلة الإلكترون ولكن له شحنة موجبة، على عكس الإلكترون السّالب. عندما يلتقي البوزيترون بإلكترون بالقرب من مكان تكوينه، تنبعث الموجات الكهرومغناطيسيّة في اتجاهين متعاكسين، ويتمّ امتصاصها بواسطة الكاشف الموجود في داخله المريض. يقوم الحاسوب بتحليل الموجات المستقبلة، وتكوين صورة ثلاثيّة الأبعاد لموضع المؤشّر المشعّ في الجسم الّذي يتمّ فحصه. أحد المؤشّرات الأكثر شيوعًا في تصوير PET هو FDG، وهو عبارة عن نسخة مختلفة قليلاً من سكّر الجلوكوز. يتمّ استخدامه لمتابعة الأنسجة ذات الامتصاص والاستهلاك العالي للجلوكوز، وهي خاصّيّة بارزة للأورام السّرطانيّة.
يستخدم الأطباء بشكل مكثّف تقنيّة الـ-PET للكشف عن الأورام السّرطانيّة، تشخيص أمراض الدّماغ، التّخطيط لجراحات الرّأس، تخطيط جراحة القلب، تشخيص وعلاج الأمراض المعدية وغيرها. يمكن أيضًا استخدام PET في عمليّة تطوير أدوية جديدة، وذلك بفحص انتشار الدّواء في الجسم ومعدّل امتصاصه، أو لأبحاث أخرى. غالبًا ما يتمّ إجراء دمج تصوير الـ-PET و CT معًا للحصول على معلومات شاملة حول المريض.
إن كمّيّة الإشعاع الّتي نتعرّض لها في فحص PET مماثلة لكمّيّة الأشعّة في فحص CT (بالطّبع تعتمد الكمّيّة الدّقيقة على الخصائص الدّقيقة للفحص). المؤشّر المشعّ يتوقّف عن إصدار البوزيترونات بعد ساعات قليلة من زمن إنتاجها.

اختبار إشعاعي يجعل من الممكن فحص وظيفة الأنسجة. جسم شخص في مسح PET ، مقطع خلفي وعلوي|الصورة: springsky, Shutterstock
نظرة نحو المستقبل
على الرّغم من أنّ طرق التّصوير الّتي استعرضناها هنا تستند إلى مبادئ علميّة مختلفة، إلّا أنّها تستند إلى القدرة على إنتاج التّباين والتّمييز بين الشّيء الّذي نهتمّ به و الأشياء الاُخرى. في حين أنّ بعض الطّرق الّتي تحدّثنا عنها قد تمّ اختراعها منذ أكثر من 100 سنة، فإنّ عالم التّصوير يستمرّ بالتّطوّر والتّجدّد. يعمل الباحثون باستمرار على تطوير تقنيّات التّصوير الموجودة، إيجاد استخدامات مختلفة لها، وابتكار تقنيّات جديدة. يطوّر العلماء مؤشّرات جديدة لفحص PET وأجسام مضادّة لفحصي ال-CT وال-MRI. في الآونة الأخيرة تمّ تطوير جهاز يعمل باللّيزر للتّصوير بالموجات فوق الصّوتيّة، وقد تبيّن أنّ ال-MRI يُحسن تشخيص سرطان الثّدي لدى النّساء اللّواتي خضعن للتّصوير بالأشعّة السّينيّة (التّصوير الإشعاعيّ للثّدي) فقط. إنّ تطوير عمليّات تصوير أكثر تقدّمًا سيتيح تشخيصًا مبكّرًا ودقيقًا للمشاكل الطّبّيّة، علاجًا أفضل، وخطرًا أقلّ على من يتمّ فحصهم.