بحسب ما نعلم، فإنّنا نحن – البشر – النّوع الوحيد في عالمنا الذي يستكشف نفسه. دائمًا ما أراد البشر فهم كيف تتكوّن الأشياء المُركّبة، مثل الوعي والإرادة الحرّة والأعمال الفنّيّة والأدبيّة والاختراعات والخيال، والقدرة على مزامنة حركات الجسم، إلى مستوى يسمح لنا بالعزف على البيانو، أو الرّقص أو القفز عاليًا في مسابقات ألعاب القُوى. كيف يمكن أن تكون كلّ هذه القدرات موجودة في كتلة من الخلايا تشبه الهلام في جُمجمتنا – كتلةٌ يبلغ متوسّط وزنها حوالي 1.35 كيلوغرام؟
لقد اختلف فلاسفة اليونان القديم فيما بينهم حول مكان وجود العواطف والمنطق والخيال والوعي في أجسادنا. كان الفيلسوف والباحث ألكمايون الكروتوني (Alcmaeon of Croton) يزعم في القرن السّادس أو الخامس قبل الميلاد، أنّ البشر يختلفون عن الحيوانات الأخرى في أنّ لديهم إدراكًا يعتمد على الدماغ. لسوء الحظ، فُقدت كتابات ألكمايون على مرّ السّنين، لكنّ أفكاره ذكرت في كتابات لاحقة لعلماء اليونان، الذين واصلوا مناقشة هذه المسألة. كان الفيلسوف الشّهير أفلاطون يعتقد أيضًا أنّ الدماغ هو جهاز الإحساس والعقلانيّة، لكنّ تلميذه أرسطو زعم أنّ العقل في القلب، بينما يعمل الدّماغ على تبريد الجسم.
بعد مرور حوالي ألفيْ عام، في القرن السّادس عشر الميلاديّ، قام الطّبيب البلجيكيّ أندرياس فيزاليوس (Vesalius) بتشريح الجثث والأعضاء، ثمّ نشر كتاب التّشريح الشّامل "حول بنية جسم الإنسان" (De Humani Corporis Fabrica). لاحظ فيزاليوس في أبحاثه أنّ بنية الدّماغ البشريّ تشبه بنية دماغ الثّدييات الأخرى، لكنّها أكثر تعقيدًا منها. وقد نسب السّمات الفريدة للإنسان، مثل الكلام والتّفكير العقلانيّ، إلى هذا التّعقيد في الدّماغ. لكنّ فيزاليوس لم يفهم وظيفة التّجاويف الموجودة في الدّماغ – بُطيْنات الدّماغ المملوءَة بالسّائل النّخاعيّ – وكان يعتقد أنّ السّائل الموجود فيها يحتوي على "روح الحياة".
لم تحدث القفزة العظيمة الحقيقيّة في فهم الدّماغ إلّا في القرن التّاسع عشر، في أعقاب الأعمال الرّائدة للباحثين، مثل رامون إي كاخال (Cajal)، الّذين وصفوا بنية الدماغ وأنواع الخلايا فيه، والأطباء الّذين أدركوا أنّ إصابات معيّنة في الدماغ أدّت إلى اضطرابات محدّدة في القدرات، مثل الذّاكرة والكلام والخيال. وقد قادت الاكتشافات الجديدة إلى فهم أنّ الدماغ يتكوّن من خلايا عصبيّة تنقل الإشارات الكهربائيّة فيما بينها، وتشكّل هذه الإشارات بين الخلايا في مناطق الدّماغ المختلفة الأساس للوظائف الحسّيّة والإدراكيّة.

لاحظ فيزاليوس أنّ بنية الدّماغ البشريّ تشبه بنية دماغ الثّدييات الأخرى، ولكنّها أكثر تعقيدًا منها. كتاب فيزاليوس "حول بنية جسم الإنسان" | Shutterstock, lev radin
نظرة خاطفة على الدّماغ
عندما ندرس فيزيولوجيا البشر الأحياء، فإنّنا غالبًا لا نريد ولا يمكننا استخدام الأساليب الجراحيّة التي تضرّ بخاضعي الدّراسة. ولهذا السّبب تلعب تقنيات التّصوير المتقدّمة دورًا حيويًّا في دراسة الدّماغ البشريّ، لأنّها تسمح لنا بالنّظر إلى داخل الدّماغ دون استخدام سكّين الجرّاح. هنالك عدّة طرق لتصوير أعضاء الجسم بطريقة غير جراحيّة. كلّ طريقة تسمح لنا بفحص أنسجة مختلفة، وتزوّدنا بمعلومات مختلفة عنها. على سبيل المثال، توفّر الأشعّة السّينيّة (X-ray) المستخدمة في تصوير رنتجن صورًا ممتازة لأنسجة العظام، بينما الموجات الصّوتيّة في مسح الأولترساوند تكون مناسبةً لرؤية الأنسجة الرّخوة.
هناك طريقة تصوير أخرى تستخدم على نطاق واسع، مثلًا من أجل تشخيص الانزلاق الغضروفيّ في الظهر، ولأغراض أُخرى كثيرة، هي طريقة التّصوير بالرّنين المغناطيسيّ أو MRI. جهاز الـ MRI هو مغناطيس ضخم الحجم. قوّة المجال المغناطيسيّ لجهاز الـ MRI الأساسيّ المستخدم في التّصوير تصل إلى 1.5 تسلا، أي ثلاثين ألف مرّة من قوّة المجال المغناطيسيّ للأرض. يمكن استخدامه لإنتاج صور تشريحيّة مفصّلة ودقيقة لأنسجة الجسم، دون الحاجة إلى إشعاعات خَطِرة مثل تلك المستخدمة في الأشعة السّينيّة.
تعتمد الصّور الّتي ينتجها جهاز الـ MRI على استجابة البروتونات الموجودة في ذرات الهيدروجين للمجالات المغناطيسيّة الّتي ينتجها الجهاز. كلّ نسيج في الجسم لديه تركيبته الفريدة من الموادّ، بالتّالي فإنّ كل نسيج سوف يظهر بلون مختلف في المسح، بحسب خصائصه. على سبيل المثال، الأنسجة الدّهنيّة أكثر كثافةً ولزوجةً من السوائل. هكذا يمكّننا من التّمييز بين الأنسجة المختلفة في العضو الّذي نصوّره.

كلّ نسيج في الجسم له تركيبته الفريدة من الموادّ، وبالتّالي فإنّ كلّ نسيج سيظهر في الفحص بألوان مختلفة، بحسب خصائصه. مريض داخل جهاز MRI | حقوق النشر: Shutterstock, zlikovec
مع ذلك، وعلى الرّغم من أنّ الفحوصات التّشريحيّة تسمح لنا برؤية بنية الدّماغ، إلّا أنّها لا تسمح لنا برؤية ما يحدث عندما يعمل الدّماغ، وكيف تتغيّر أنماط نشاطه من حالة إلى أخرى – مثلًا عندما نشعر بالخوف، أو عند استرجاع حقائق من الذّاكرة. العديد من الأسئلة المثيرة للاهتمام جدًّا في علم الأعصاب تتعلّق بالسّلوك، وخاصّة بالأشياء الّتي نعتبرها فريدة بالنّسبة للبشر – على سبيل المثال، المشاعر الّتي نشعر بها عندما نستمع إلى الموسيقى، أو القدرة على الشّعور بالتّعاطف. من الصّعب جدًّا، وفي كثير من الأحيان من المستحيل، دراسة مثل هذه المسائل من خلال التّجارب على الحيوانات. لو كان لدينا وسيلة تسمح لنا برؤية الدّماغ من خلال الجمجمة، ومراقبة ما يحدث عندما يقوم شخص معيّن بعمل معيّن: يفكّر، أو يقوم باتّخاذ قرار، أو يشعر بمشاعر معيّنة – كان بإمكاننا أن نتعلّم الكثير من الأشياء عن أنفسنا.
المغناطيس الّذي بالدّاخل
إحدى الطّرق الشّائعة للقيام بذلك هي مراقبة النّشاط الكهربائيّ للدماغ، باستخدام أقطاب كهربائيّة مثبتة على الجمجمة، والتي تُجرى باستخدام جهاز تخطيط كهربيّة الدّماغ (Electroencephalogram، أو EEG اختصارًا). هذه طريقة غير جراحيّة لقياس نشاط الدّماغ، وهي طريقة قديمة العهد، لكن فيها العديد من العيوب البارزة. أكبر هذه العيوب هو أنّها غير دقيقة مكانيًّا – لا يمكن استخدامها لتحديد الموقع الدّقيق في الدّماغ حيث يحدث النّشاط الكهربائيّ المُقاس، وهناك مناطق في الأجزاء الداخليّة من الدّماغ لا يمكن جمع معلومات عنها بهذه الطّريقة. بالإضافة إلى ذلك، تتأثّر الإشارة المقاسة أيضًا بعوامل لا علاقة لها بالنّشاط العصبيّ، مثل الشّعر، السحايا (أغشية الدّماغ) والجمجمة.

تسمح هذه الطّريقة بمراقبة النّشاط الكهربائيّ للدّماغ باستخدام أقطاب كهربائيّة مثبتة على الجمجمة. طبيبة تراقب نشاط دماغ مريضة باستخدام EEG | Shutterstock, Roman Zaiets
في عام 1990، حدث تقدّمٌ كبير في مجال التّصوير الدّماغيّ، عندما اكتشف فريق من الباحثين من مختبرات AT&T Bell أنّه من الممكن استخدام خصائص خلايا الدّم الحمراء، لمراقبةِ التّغيّرات في نشاط الدّماغ أثناء قيام الشّخص بعمليات التّفكير باستخدام جهاز الـ MRI. عندما تعمل الخليّة العصبيّة فإنّها تستهلك الطّاقة، ولهذا فهي تحتاج إلى الأوكسجين. يُنقل الأوكسجين في الدّم عن طريق خلايا الدّم الحمراء، والّتي تحصل على لونها الأحمر من بروتين الهيموجلوبين، الّذي يربط الأوكسجين بها. عندما يصل الأوكسجين إلى الخلايا العصبيّة، يُطلَق من خلايا الدّم الحمراء وفي مكانه ترتبط جزيئات ثاني أوكسيد الكربون، والّتي يتمّ إخراجها في مجرى الدّم إلى الرّئتين.
هل تتذكّرون أنّ جهاز الـ MRI هو عبارة عن مغناطيس ضخم؟ من الخصائص الأخرى للهيموجلوبين أنّه يحوي ذرّة حديد في مركزه. عندما ينفصل الأوكسجين عن البروتين الّذي يحمله، يصبح الحديد مكشوفًا، ويصبح الهيموجلوبين بارامغنطيسي (قابلًا لِلتمغْنُط)، أي أنّه حسّاس ومستجيب للمجال المغناطيسيّ. بالضّبط كما لو أنّنا وضعنا مسمارًا معدنيًّا بجانب مغناطيس، فسوف نشعر بجاذبيّته للمغناطيس – الهيموجلوبين غير المؤكسَج يسبِّب تشوّهًا في المجال المغناطيسيّ. بالمقابل، عندما يرتبط الأوكسجين بالهيموجلوبين، فإنّ الهيكل المكانيّ للبروتين يتغيّر ويصبح غير مغناطيسيّ، أي أنّه يتنافَر مع المجال المغناطيسيّ. وهكذا، من خلال فحص التّغيّرات في المجال المغناطيسيّ، يُمكِن معرفة حالة تأكسد الهيموجلوبين – ما إذا كان يحمل الأوكسجين في طريقه إلى الخلايا، أو ما إذا كان لا يحوي أوكسجين مرتبطًا به. الإشارة الّتي قاسها الباحثون سُمّيَت بـ "الإشارة المعتمدة على مستوى أوكسجين الدّم" أو BOLD اختصارًا.

أطلق على الإشارة التي قاسها الباحثون "الإشارة المعتمدة على مستوى أوكسجين الدم". صورة MRI للدماغ، تمّ تمييز عناصر حجمية (ڤوكسل) في منطقة الفصّ القذالي بألوان دافئة، حيث كان هناك تغيير كبير في إشارة BOLD في ظروف التّجربة مقارنةً بوضع الراحة | Living Art Enterprises / Science
نَشِط مثل سمك السّلمون الميّت
مهَّد هذا الاكتشاف الطّريق لدراسات جديدة، تبحث في التّغيّر في نشاط مناطق مختلفة من الدّماغ أثناء قيام الشّخص بمهمّة ما. الاسم الّذي يُطلق على هذه الطّريقة هو fMRI – التّصوير بالرّنين المغناطيسيّ الوظيفيّ (functional Magnetic Resonance Imaging). يتزايد استخدام الـ fMRI في الأبحاث: فقد قفز عدد المنشورات العلميةّ المستندة إلى نتائج الـ fMRI من حوالي 4000 مقال في عام 1990، إلى حوالي 44 ألف في عام 2021. لذا فإنّ الطّريقة أصبحت الآن أداةً بحثيّةً مركزيّةً في علم الأعصاب، وخاصّة في الدّراسات على البشر وعلى العمليّات الفكريّة المتقدّمة مثل الوعي والإرادة الحرة أو التّعاطف، والّتي من الصّعب إيجاد ما يعادلها لدى الحيوانات.
لكن في عام 2009، نشر باحث شاب يُدعى كريج بينيت (Bennet) وزملاؤه مقالًا قوّض الثّقة واسعة النّطاق بهذه الطّريقة، وبنتائج الدّراسات الّتي استندت إليها. قال بينيت إنّه خلال فترة حصوله على الدّكتوراه، أُجريت تجارب fMRI على المراهقين والبالغين لدراسة التّغيّرات في عمليّات صنع القرار خلال فترة المراهقة. بسبب التّكلفة العالية لحيازة جهاز MRI، تستأجر معظم المختبرات ساعات استخدام للجهاز من مستشفى أو من مركز أبحاث كبير، وهذا ما فعله بينيت. وعندما وجد نفسه في "ساعات فراغ" بدون أشخاص مشاركين بالتجربة، قرّر هو وزملاؤه استغلال هذا الوقت الثّمين، لمسح أغرب الأشياء الّتي يمكنهم العثور عليها وشراءها من السّوبر ماركت. قاموا بمسح يقطين ودجاج مُجمَّد، بل وفي أحد الأيام مسح بينيت سمكة سلمون كاملة مجمَّدة. أجروا التّجربة بأكملها، أي المسح التّشريحيّ، الّذي يتيح إجراء مقاطع مفصّلة للأنسجة والمسح الوظيفي، الّذي يفحص التّغيّرات في إشارة BOLD. استمتعوا بالصّور الجميلة الّتي حصلوا عليها، وحفظوا البيانات ثمّ نسوا أمر تلك المزحة.

تعتبر هذه الطريقة حاليًا أداة بحثيّة رئيسة في علم الأعصاب. صورة fMRI للدماغ في وضع الراحة | Mark And Mary Stevens Neuroimaging And Informatics Institute / Science Photo Library
في عام 2008، عندما وصل إلى مرحلة ما بعد الدكتوراه، عمل بينيت مع مشرِفه، جورج وولفورد (Wolford)، على مشكلة التّصحيح للمقارنات المتعدّدة. لا يوجد في دماغنا زرّ إيقاف، لأنّه نشط باستمرار، لذلك يمكن دراسة أنماط نشاط الدماغ فقط بطريقة مقارَنة – على سبيل المثال، النّشاط أثناء أداء مهمّة، مقارنةً بالنّشاط الذي يُرى عند عدم تنفيذ المهمّة.
لقياس إشارة BOLD، تُقسّم مناطق النّشاط الدّماغيّ المسجلة في MRI إلى العديد من المكعّبات الصّغيرة، تُسمّى "ڤوكسلات" – وهي نقاط (بكسلات) لها حجم (Volume). لكلّ ڤوكسل، نودّ أن نفحص، باستخدام اختبار إحصائيّ، ما إذا كان هناك تغيير في الإشارة أثناء تنفيذ المهمّة، مقارنةً بمستوى الإشارة المُقاس في ظروف المجموعة الضّابطة. المشكلة هي أنّه عند إجراء مقارنات متعدّدة – كما يحدث عند مقارنة آلاف وحدات الڤوكسل في الدماغ – تزداد احتماليّة الحصول على نتيجة تؤكّد فرضيّتنا، أي أن تكون هناك زيادة في النشاط، دون أن يكون ذلك موجودًا بالفعل. يُعرف هذا الخطأ باسم "خطأ من النوع الأوّل" أو false positive، وقد بحث علماء الدّماغ عن طرق لتصحيحِه، وتحسين دقّة الحسابات التي تُجرى على آلاف وحدات الڤوكسلات.
كانت لدى بينيت فكرة – اقترح استخراج البيانات من سمك السّلمون المجمد، الّذي كان يحتوي على حوالي 65 ألف ڤوكسل، والبحث عن ڤوكسلات نَشِطة. في حال عُثر على مثل وحدات الڤوكسل هذه في سمكة ميّتة، فإنّ ذلك من شأنه أن يمثّل بوضوح وجود خطأ من النّوع الأوّل في الاختبار، وأهمّيّة إيجاد تصحيح للمقارنات المتعدّدة. ما كان يتوقّعه بينيت هو وجود توزيع عشوائيّ لوحدات ڤوكسل فرديّة، ولكن ولشدّة دهشته، فقد رأى ثلاث مجموعات واضحة من وحدات ڤوكسل النشطة – وهو نمط من النّشاط لا ينبغي على الإطلاق العثور عليه في دماغ سمك السّلمون المجمَّد السّاكن.
سارع بينيت إلى تقديم نتائجه في مؤتمر دوليّ مهمّ عُقِد في ذلك العام، بعد أن أقنع منظمّيه بأنّها ليست خُدعة. أثارت الدّراسة ردود أفعال كثيرة – كان هناك من اعتبرها خدعة غبيّة، وآخرون قالوا إنّ خطأً قد حدث في عمليّة تحليل البيانات. أدرك بينيت أنّه على الرّغم من الخوف مما قد تسبّبه دراسةٌ غبيّة على سمكة ميّتة من تأثيرٍ سيّء على سمعتِه كعالم في بداية طريقه، إلّا أنّ في يديه نتائج لا بدّ من نشرها. في عام 2009، نشر بينيت وزملاؤه نتائج فحص الـ fMRI للسّلمون. أثارت المقالة نقاشات صاخبة في مجتمع البحث العالميّ، بل وحاز مؤلّفوها على جائزة إيغ نوبل (نوبل للحماقة العلميّة) في عام 2012.

لقد فوجئ بينيت عندما رأى ثلاث مجموعات واضحة من وحدات الڤوكسل النشطة – وهو نمط من النشاط لا ينبغي العثور عليه في دماغ سمك السّلمون المجمّد. مسح الـ MRI للسّمكة الميّتة | Bennett, C. et al. JSUR (2010)، CC BY 3.0
استنتاجات متضاربة
أحد المبادئ المهمّة في العلوم هو مراجعة الزملاء – كلّ مقال منشور في مجلة علميّة يمرّ بعدّة مراحل من المراجعة المستقلّة من خبراء يفحصون مراحل العمل والنتائج ويقترحون طرقًا إضافية، وأحيانًا حتى تجارب إضافيّة، لتعزيز وتوضيح نتائج البحث. لقد أظهرت سمكة سلمون بينيت الميّتة بوضوح كيف يتعلّم العلماء من الأخطاء ويصحّحون أنفسهم.
في دراسة أُخرى نُشرت في مجلة Nature، سعت عالمة الدّماغ روتيم بوتفينيك نيتزر وزملاؤها من جامعة تل أبيب إلى فحص ما إذا كانت أساليب تحليل بيانات الـ fMRI، قادرة على التّأثير على النّتائج والاستنتاجات النّهائيّة، وإلى أيّ مدى يمكن ذلك. لذلك قد طلبوا من سبعين مختبرًا حول العالم تحليل نفس مسح الـ fMRI، والّذي تضمّن بيانات قد جُمِعت من عدّة أشخاص. بالإضافة إلى تحليل البيانات، طُلب من المختبرات أيضًا الإجابة على بعض الأسئلة المحدَّدة، كما لو كان النّشاط الدماغيّ يزيد أو ينقص في ظلّ ظروف معيّنة.
يبدو الأمر وكأنّه سؤالٌ بسيط، لكن اتّضح أنّ المختبرات الّتي استخدمت مناهج وأدوات تحليليّة مختلفة، توصّلت إلى استنتاجات مختلفة، بل وحتّى متعارضة. وجد البعض من المختبرات أنّ النّشاط الدّماغيّ قد زاد، في حين خلصت مختبرات أخرى إلى أنّه في الواقع قد انخفض.
وفي مسائل أخرى، كأيّ مناطق من الدّماغ كانت نَشِطة أثناء الاختبار، كان هناك اتّفاق أكبر بين المجموعات المختلفة. وقد أثارت النّتائج جدلًا علميًّا حيويًّا، وأشارت إلى أنّه في عمليّة متعدّدة المراحل، لتحليل بيانات الـ fMRI، على الباحثين اتّخاذ قرارات عديدة فيما يتعلّق بحساب البيانات، واستخدام أدوات البرمجيّات المتاحة لهم، والاختبارات الإحصائيّة التي سيفحصون بها البيانات. تؤثّر هذه القرارات بشكل كبير على النّتائج والاستنتاجات.
كيف إذًا نتعامل مع حالة عدم اليقين؟ إحدى الأدوات هي التّكرار، أي إعادة إنتاج الدّراسات التي أجراها باحثون آخرون، على أمل الوصول إلى نفس النتائج. ولإتاحة تكرار الدراسات والتّجارب بشكل فعّال، من المعتاد أن يُطلب من مؤلّفي المقالات وصف جميع مراحل التّجربة بالتّفصيل وتحليل البيانات. بالإضافة إلى ذلك، يُطلب من الباحثين الكشف عن جميع البيانات الخام الّتي جمعوها، بالشّكل الّذي جاءَت به مباشرةً من جهاز القياس، قبل أن يبدؤوا في معالجتها. بهذه الطريقة، يمكن للباحثين الآخرين العودة على خطوات تحليل البيانات، ومعرفة ما إذا كانوا سيتوصلون بالفعل إلى نفس الاستنتاجات الّتي ظهرت في الدّراسة الأصليّة. يتزايد الاتجاه نحو إتاحة الوصول المجانيّ إلى البيانات الخام بشكل مُطّرد، لدرجة أنّ هناك الآن مجلّات علميّة أصبحت تشترط ذلك كشرط لنشر المقالة.

توصّلت المختبرات الّتي استخدمت مناهج وأدوات تحليليّة مختلفة إلى استنتاجات مختلفة، بل وحتّى متعارضة. باحثون ينظرون إلى صور fMRI | קרדיט: Shutterstock, Gorodenkoff
موت ديانا
تعكس الإشارة المقاسة في تصوير الـ MRI، كما ذكر آنفًا، التّغيرات في النسبة بين الدم المؤكسَج والدّم منزوع الأكسجين. أي أنّه مقياس غير مباشر للنّشاط العصبيّ. إذا أردتُ أن أرفع يدي، فإنّ اليد سترتفع على الفور، لأنّ الإشارة العصبيّة من الدّماغ إلى اليد تستمرّ لجزء من الثّانية. في المقابل، فإنّ وصول الدّم إلى منطقة محدّدة من الجسم مرتبطٌ باختلاف قطر الأوعية الدّموية – وهي عمليّة طويلة وبطيئة تستغرق ما قد يصل إلى 20 ثانية. فكيف إذًا يمكن استخدام مثل هذا القياس البطيء لقياس النّشاط العصبيّ الّذي هو أسرع بكثير؟
هذه هي إحدى القيود التي يواجهها الباحثون في مجال الـ fMRI. لكي نتمكّن من فحص ما يحدث في الدّماغ، على سبيل المثال عندما يرى شخص ما صورة قطّة، يجب أن نعرض عليه الصّورة لبضع ثوانٍ، لإعطاء الوقت الكافي للدّم لكي يتدفّق إلى المنطقة النّشطة ويغير إشارة الـ BOLD. لكن إذا تركناه يحدّق في نفس القطّة لفترة طويلة، فإنّه سوف يشعر بالملل، وربّما قد لا نرى مناطق الدّماغ التي تنشط عند مراقبة القطّة، بل تلك الّتي تنشّط أثناء أحلام اليقظة. لذلك، تتضمّن التّجربة عادةً عدّة مجموعات من صور القطط، بحيث تُعرض كلّ صورة لعدة ثوانٍ، وتتكرّر المجموعات عدّة مرات، وذلك يسمح لنا بتتبّع التّغييرات في إشارة الـ BOLD، لكنّ الثّمن هو أنّها لا تمثّل العالم الحقيقيّ بشكل جيّد.

لكل ڤوكسل، نود أن نفحص ما إذا كان هناك تغيير في الإشارة أثناء تنفيذ المهمة، مقارنة بمستوى الإشارة المقاس في ظروف المجموعة الضابطة. دماغ مع وحدات ڤوكسل تزيد من نشاطها (بألوان دافئة) وأخرى تقلّل من نشاطها (بألوان باردة) عندما تماهى المشاركون في التّجربة مع مشاعر الآخرين | الصّورة مقدّمة من د. عدي يانيف
في عام 2022، أعلنت مجموعة من الباحثين من كوريا الجنوبيّة، في مقال نُشِر في مجلة Science، أنّهم طوّروا طريقة مسح fMRI تسمح بفحص التغيّرات في نطاق زمنيّ من الملّي ثانية – جزء من الألف من الثّانية. وقد خلقت هذه الطريقة، الّتي يطلق عليها اسم DIANA، أو Direct Imaging of Neuronal Activit، الكثير من الآمال. وعدت الشّركة بتوفير أداة تجمع بين ثراء المعلومات المكانيّة التي يوفّرها الـ MRI، مع قياس سريع للغاية يتوافق مع السرعات التي تحدث بها العمليّات العصبيّة. برنامج DIANA يعتمد على إعطاء تحفيز كهربائيّ لحيوان مخدّر خمس مرّات في الثّانية. يقوم الماسح الضّوئيّ بأخذ عيّنة معلومات من نقطة ما في دماغ الحيوان كلّ خمسة ميلي ثانية، ثمّ يجمع المعلومات من جميع النّقاط التي تمّ أخذ عيّنات منها في الدّماغ بمرور الوقت. زعم الباحثون أنّ التّحفيز الكهربائيّ يعمل على قمع الإشارة البطيئة لاستجابة BOLD، وبالتّالي يستطيع الـ MRI قياس التغيّرات النّاتجة عن الاختلافات في الجهد الكهربائيّ، المتعلّقة بالنّشاط الكهربائيّ للخلايا العصبية نفسها.
لكن وللأسف، انتهت الآمال الكبيرة بخيبة أمل: فبعد مرور عام، أصدر محرّرو المجلّة تحذيرًا للقرّاء مفاده أنّه لم تنشر أيّ دراسة حتّى الآن يمكنها تكرار النّتائج. فشلت إحدى محاولات استخدام هذه الطّريقة، بينما نجحت مجموعة بحثيّة أخرى من قياس إشارة كهربائيّة، مماثلة لتلك التي قدّمها مطوّرو DIANA، لكنّ أعضاءَها خلصوا إلى أنّ الإشارة لم تكن مرتبطة بشكل مباشر بالنّشاط العصبيّ، بل بتسلسل المحفّزات الكهربائيّة الّتي تلقّاها الحيوان. كما تمّت محاولة استخدام هذه الطّريقة في تجربة على البشر، لكن بحسب الباحثين، فإنّ جزءًا من الإشارة المقاسة قد يكون بسبب الظّروف التّجريبيّة والطّرق والأدوات المستخدمة، لإدارة التحفيز الكهربائيّ أو لقياس النشاط. لذلك، ينبغي بحسب رأيهم إجراء دراسات إضافيّة خاضعة للرّقابة على حيوانات المختبر، لفهم ما تعكسه الإشارة المقاسة، وما إذا كانت تظلّ ثابتة في ظلّ الظّروف المُتغيّرة.

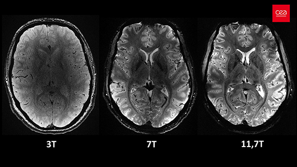
قادر على المسح بدقة 0.2 مم، وإكمال مسح جميع أقسام الدّماغ في أربع دقائق فقط. دماغ في MRI بقوة 11.7 تسلا (يمين) مقارنة بأجهزة أضعف | © CEA
نحو المستقبل
تستمرّ الأدوات التي تخدم دراسات الدماغ الحيّ في التّحسّن، من بين ذلك استخدام أجهزة MRI أكثر قوّة، والّتي توفّر مسوحات تشريحيّة مفصّلة للغاية. الجهاز الأقوى اليوم موجود في فرنسا وتصل قوّته إلى 11.7 تسلا. وهو قادر على المسح بدقّة 0.2 مم، وإكمال مسح جميع شرائح الدّماغ في أربع دقائق فقط. للمقارنة، تستخدم معظم المستشفيات في إسرائيل أجهزة MRI بقوّة 1.5 تسلا، وهي كافية لمعظم الاحتياجات الطّبّيّة. في دراسات الدّماغ، من المعتاد استخدام جهاز بقوة 3 تسلا، وفي معهد وايزمان للعلوم يوجد جهاز يصل إلى 7 تسلا.
إنّ الكثافة العالية للمجال المغناطيسيّ لها ثمنها – فقد يعاني الأشخاص من الغثيان والدّوار، ممّا يحدّ من مدّة التّجارب الّتي يمكن إجراؤها. بالإضافة إلى ذلك، فإنّ صيانة الجهاز معقّدة ومكلفة، لأنّ اللّفائف التي تنتج المجال المغناطيسيّ يجب تبريدها إلى درجة حرارة قريبة من الصّفر المطلق. التّبريد ضروريّ حتّى تكون هناك مقاوِمة أقلّ، حتّى يُسمَح بمرور التّيّار الكهربائيّ الّذي يخلق المجال المغناطيسيّ. وهكذا، وعلى الرّغم من مزاياه، إلّا أنّ الجهاز القويّ بشكل خاصّ ليس بالضّرورة الخيار الأمثل للتّجارب، ويجب أخذ اعتبارات إضافيّة في الحسبان.
إنّ أدوات البحث والتّحليل الفعّالة، إلى جانب معايير الشّفافية، والوصول الحرّ إلى البيانات الخام ومراجعة الزملاء، من شأنها أن تُثري جدًّا معرفتنا بأنفسنا، ومعرفتنا بالسّؤال الأهمّ على الإطلاق: ما الّذي يجعلنا نكون من نحن، ويسمح لنا بالتّخطيط والتّخيّل والإبداع والتّذكّر والتّعاون. ربّما في المستقبل – غير البعيد – سنتعلّم كيف نفهم كامل التّعقيدات للنّشاط الدّماغيّ، الّتي تُتيح لي كتابة هذا المقال – جمع المعلومات من مصادر عديدة وربط الأحرف لتصبح كلمات – والّتي بفضلها – أي هذه التّعقيدات للنّشاط الدّماغيّ – قادرون أنتم على قراءة المقال، وحمله، آمل، في ذاكرتكم. ومن يدري، فلربّما قد تتمكّنون يومًا ما من استخراج هذه المعرفة، وأخذها إلى أماكن جديدة ومبتكرة.